Promotional price valid on web orders only. Your contract pricing may differ. Interested in signing up for a dedicated account number?
Learn More
Learn More
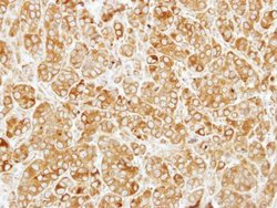
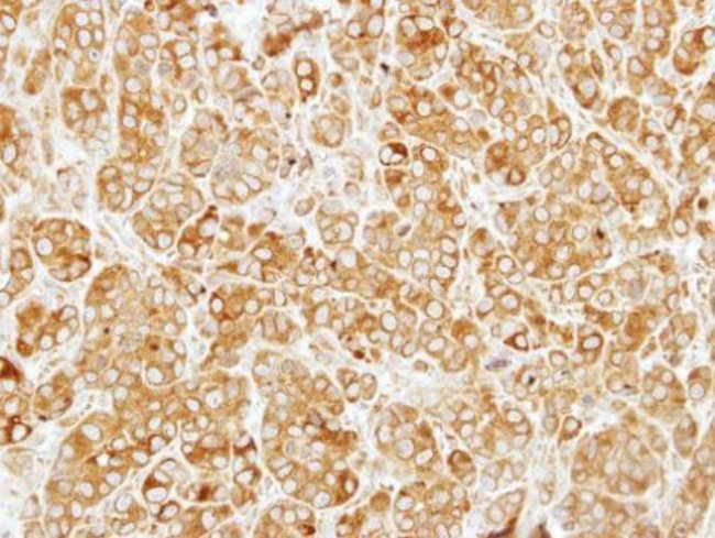
Invitrogen™ SIL1 Polyclonal Antibody

Rabbit Polyclonal Antibody
Supplier: Invitrogen™ PA530798
Description
Recommended positive controls: A431, rat kidney. Predicted reactivity: Chimpanzee (99%), Bovine (86%). Store product as a concentrated solution. Centrifuge briefly prior to opening the vial.
This gene encodes a resident endoplasmic reticulum (ER), N-linked glycoprotein with an N-terminal ER targeting sequence, 2 putative N-glycosylation sites, and a C-terminal ER retention signal. This protein functions as a nucleotide exchange factor for another unfolded protein response protein. Mutations in this gene have been associated with Marinesco-Sjogren syndrome. Alternate transcriptional splice variants have been characterized.
Specifications
SIL1 | |
Polyclonal | |
Unconjugated | |
SIL1 | |
1810057E01Rik; AI042831; BAP; BiP-associated protein; endoplasmic reticulum chaperone SIL1 homolog (S. cerevisiae); homolog of yeast; MSS; Nucleotide exchange factor SIL1; SIL1; SIL1 homolog, endoplasmic reticulum chaperone; SIL1 nucleotide exchange factor; SIL1 protein; SIL1-like protein endoplasmic reticulum chaperone; ULG5; UNQ545/PRO836; wz | |
Rabbit | |
Antigen affinity chromatography | |
RUO | |
291673, 64374 | |
Store at 4°C short term. For long term storage, store at -20°C, avoiding freeze/thaw cycles. | |
Liquid |
Immunohistochemistry (Paraffin), Western Blot | |
0.74 mg/mL | |
0.1M tris glycine with 20% glycerol and 0.01% thimerosal; pH 7 | |
Q6P6S4, Q9H173 | |
SIL1 | |
Recombinant protein encompassing a sequence within the center region of human SIL1. The exact sequence is proprietary. | |
100 μL | |
Primary | |
Human, Rat | |
Antibody | |
IgG |
Safety and Handling
WARNING: Cancer - www.P65Warnings.ca.gov
Product Content Correction
Your input is important to us. Please complete this form to provide feedback related to the content on this product.
Product Title
Spot an opportunity for improvement?Share a Content Correction