Promotional price valid on web orders only. Your contract pricing may differ. Interested in signing up for a dedicated account number?
Learn More
Learn More
Invitrogen™ SIRT1 Monoclonal Antibody (OTI5B2)

Mouse Monoclonal Antibody
Supplier: Invitrogen™ MA527217
Description
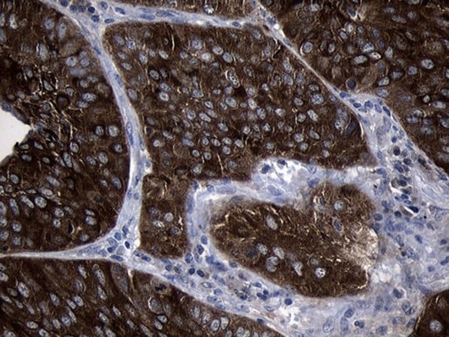
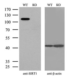
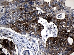
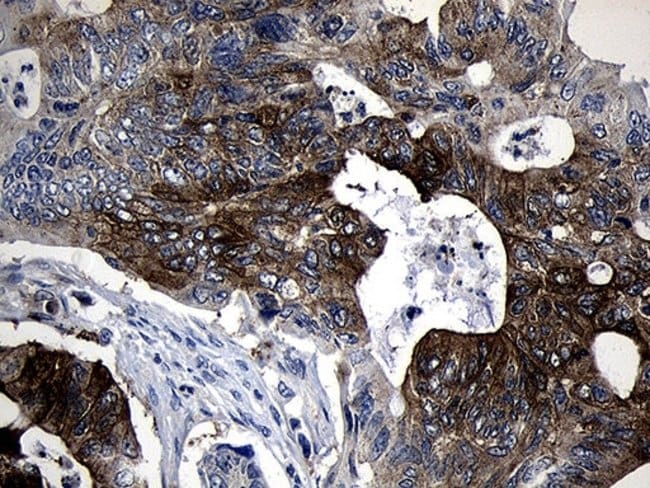
SIRT1 Monoclonal Antibody for Western Blot, ICC/IF, IHC (P)
NAD-dependent protein deacetylase sirtuin-1 (SIRT1) links transcriptional regulation directly to intracellular energetics and participates in the coordination of several separated cellular functions such as cell cycle, repsonse to DNA damage, metabolism, apoptosis, and autophagy. SIRT1 can modulate chromatin function through deacetylation of histones and can promote alterations in the methylation of histone and DNA, leading to transcriptional repression. It is essential in skeletal muscle cell differentiation and in response to low nutrients mediates the inhibitory effect on skeletal myoblast differentiation which also involves 5'-AMP-activated protein kinase (AMPK) and nicotinamide phosphoribosyltransferase (NAMPT).
Specifications
SIRT1 | |
Monoclonal | |
1 mg/mL | |
PBS with 1% BSA, 50% glycerol and 0.02% sodium azide; pH 7.3 | |
A0A0G2JZ79, Q923E4, Q96EB6 | |
SIRT1 | |
Human recombinant protein fragment corresponding to amino acids 552-676 of SIRT1 produced in E.coli. | |
100 μL | |
Primary | |
Human, Mouse, Rat | |
Antibody | |
IgG1 |
Immunohistochemistry (Paraffin), Western Blot, Immunocytochemistry | |
OTI5B2 | |
Unconjugated | |
SIRT1 | |
75SirT1; AA673258; hSIR2; hSIRT1; mSIR2a; NAD-dependent deacetylase sirtuin-1; NAD-dependent protein deacetylase sirtuin-1; OTTHUMP00000198111; OTTHUMP00000198112; Regulatory protein SIR2 homolog 1; RP11-57G10.3; SIR2; Sir2a; SIR2alpha; SIR2L1; sir2-like 1; SIR2-like protein 1; SIRT 1; SIRT1; SIRT-1; SirtT1 75 kDa fragment; sirtuin 1; sirtuin 1 ((silent mating type information regulation 2, homolog) 1; sirtuin type 1 | |
Mouse | |
Affinity Chromatography | |
RUO | |
23411, 309757, 93759 | |
-20°C, Avoid Freeze/Thaw Cycles | |
Liquid |
Product Content Correction
Your input is important to us. Please complete this form to provide feedback related to the content on this product.
Product Title
Spot an opportunity for improvement?Share a Content Correction