Promotional price valid on web orders only. Your contract pricing may differ. Interested in signing up for a dedicated account number?
Learn More
Learn More
Invitrogen™ SIRT7 Polyclonal Antibody

Rabbit Polyclonal Antibody
Supplier: Invitrogen™ PA579999
Description
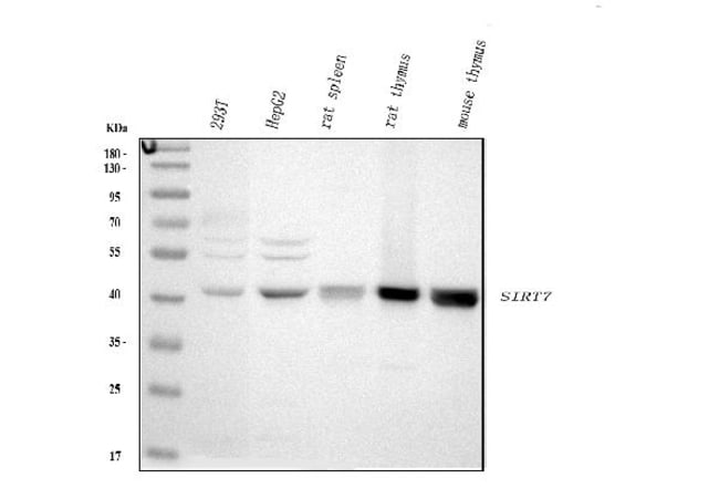
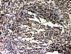
Reconstitute with 0.2 mL of distilled water to yield a concentration of 500 μg/mL. Positive Control - WB: human 293T whole cell, human HepG2 whole cell, rat spleen tissue, rat thymus tissue, mouse thyums tissue. IHC: mouse spleen tissue, rat spleen tissue.
SIRT7 is a member of the sirtuin family of proteins, homologs to the yeast Sir2 protein. Members of the sirtuin family are characterized by a sirtuin core domain and grouped into four classes. SIRT7 is included in class IV. The functions of human sirtuins have not yet been determined; however, yeast sirtuin proteins are known to regulate epigenetic gene silencing and suppress recombination of rDNA. Studies suggest that the human sirtuins may function as intracellular regulatory proteins with mono-ADP-ribosyltransferase activity. SIRT7 is included in class IV of the sirtuin family.
Specifications
SIRT7 | |
Polyclonal | |
Unconjugated | |
SIRT7 | |
MGC126840; MGC126842; NAD-dependent deacetylase sirtuin-7; NAD-dependent protein deacetylase sirtuin-7; NAD-dependent protein deacylase sirtuin-7; regulatory protein SIR2 homolog 7; silent mating type information regulation 2, S.cerevisiae, homolog 7; Sir2l7; SIR2-like protein 7; sir2-related protein type 7; Sirt7; sirtuin 7; sirtuin type 7; Unknown (protein for MGC:142712) | |
Rabbit | |
Antigen affinity chromatography | |
RUO | |
209011, 303745, 51547 | |
-20°C | |
Lyophilized |
Immunohistochemistry (Paraffin), Western Blot | |
500 μg/mL | |
PBS with 5mg BSA and 0.05mg sodium azide | |
B2RZ55, Q8BKJ9, Q9NRC8 | |
SIRT7 | |
E.coli-derived human SIRT7 recombinant protein (Position: R8-G350). | |
100 μg | |
Primary | |
Human, Mouse, Rat | |
Antibody | |
IgG |
Safety and Handling
WARNING: Cancer - www.P65Warnings.ca.gov
Product Content Correction
Your input is important to us. Please complete this form to provide feedback related to the content on this product.
Product Title
Spot an opportunity for improvement?Share a Content Correction