Learn More
Invitrogen™ SLAMF8 Polyclonal Antibody

Description
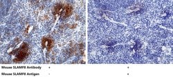
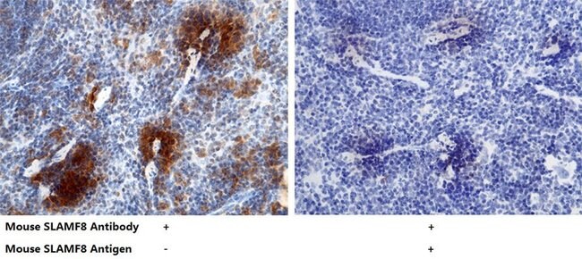
This product can be used in direct ELISA.
Specifications
Specifications
| Antigen | SLAMF8 |
| Applications | ELISA, Immunohistochemistry (Paraffin), Western Blot |
| Classification | Polyclonal |
| Concentration | 1 mg/mL |
| Conjugate | Unconjugated |
| Formulation | PBS with no preservative |
| Gene | Slamf8 |
| Gene Accession No. | Q9D3G2 |
| Gene Alias | 5830408F06Rik; B lymphocyte activator macrophage expressed; BCM-like membrane protein; Blame; B-lymphocyte activator macrophage expressed; CD353; FLJ20442; MGC129578; SBBI42; SLAM family member 8; SLAMF8 |
| Gene Symbols | Slamf8 |
| Show More |
Safety and Handling
By clicking Submit, you acknowledge that you may be contacted by Fisher Scientific in regards to the feedback you have provided in this form. We will not share your information for any other purposes. All contact information provided shall also be maintained in accordance with our Privacy Policy.