Promotional price valid on web orders only. Your contract pricing may differ. Interested in signing up for a dedicated account number?
Learn More
Learn More
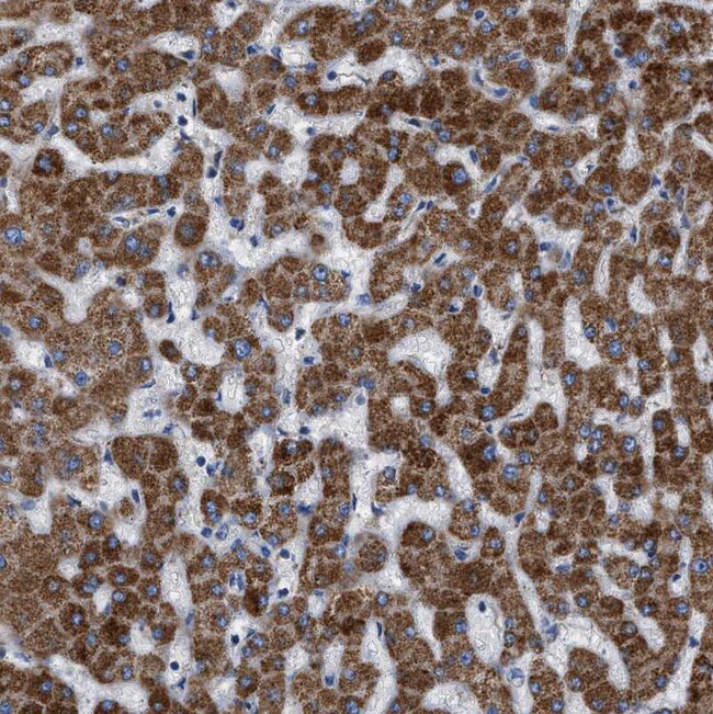
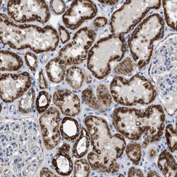
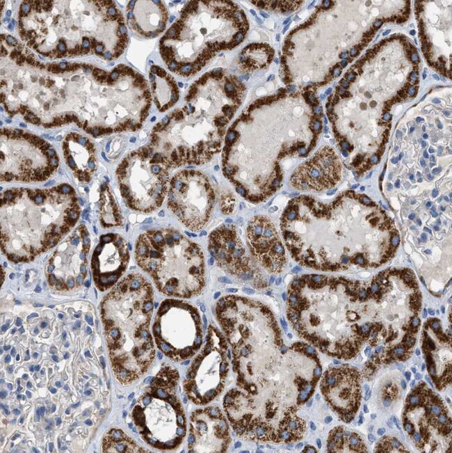
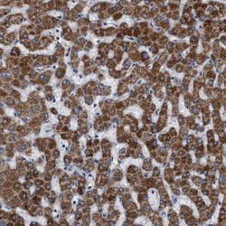
Invitrogen™ SLC25A13 Polyclonal Antibody

Rabbit Polyclonal Antibody
Supplier: Invitrogen™ PA553887
Description
Immunogen sequence: KVALTKRADP AELRTIFLKY ASIEKNGEFF MSPNDFVTRY LNIFGESQPN PKTVELLSGV VDQTKDGLIS Highest antigen sequence identity to the following orthologs: Mouse - 96%, Rat - 96%.
Citrin, also known as SLC25A13 (Solute carrier family 25 member 13), ARALAR2 or CTLN2, is a 675 amino acid multi-pass membrane protein that localizes to the inner membrane of the mitochondrion. Expressed in liver, pancreas, kidney, brain, heart and placenta, citrin functions as a calcium-dependent glutamate and aspartate carrier that is thought to play a role in the urea cycle. Citrin, a member of the mitochondrial carrier family, contains three Solcar repeats and four EF-hand domains through which it binds calcium. Defects in the gene encoding citrin are the cause of citrullinemia type 2 (CTLN2) and neonatal intrahepatic cholestasis due to citrin deficiency (NICCD). CTLN2 is an autosomal recessive disease that results from errors in the urea cycle and is characterized by neuropsychiatric symptoms such as loss of memory, seizures and coma. NICCD, a non-lethal disorder, occurs during infancy and is characterized by low birth weight, reduced bile flow, growth retardation and hepatic fibrosis.
Specifications
SLC25A13 | |
Polyclonal | |
Unconjugated | |
Slc25a13 | |
AI785475; ARALAR2; Calcium-binding mitochondrial carrier protein Aralar2; citrin; CTLN2; Ctrn; Mitochondrial aspartate glutamate carrier 2; RGD1565889; SLC25A13; solute carrier family 25 (aspartate/glutamate carrier), member 13; solute carrier family 25 (mitochondrial carrier, adenine nucleotide translocator), member 13; solute carrier family 25 member 13; solute carrier family 25, member 13; solute carrier family 25, member 13 (citrin) | |
Rabbit | |
Antigen Affinity Chromatography | |
RUO | |
10165 | |
Store at 4°C short term. For long term storage, store at -20°C, avoiding freeze/thaw cycles. | |
Liquid |
Immunohistochemistry (Paraffin), Western Blot, Immunocytochemistry | |
0.1 mg/mL | |
PBS with 40% glycerol and 0.02% sodium azide; pH 7.2 | |
Q9UJS0 | |
Slc25a13 | |
Recombinant protein corresponding to Human SLC25A13. Recombinant protein control fragment (Product #RP-92588). | |
100 μL | |
Primary | |
Human | |
Antibody | |
IgG |
Product Content Correction
Your input is important to us. Please complete this form to provide feedback related to the content on this product.
Product Title
Spot an opportunity for improvement?Share a Content Correction