Promotional price valid on web orders only. Your contract pricing may differ. Interested in signing up for a dedicated account number?
Learn More
Learn More
Invitrogen™ Slc30A8 Polyclonal Antibody
Rabbit Polyclonal Antibody
Supplier: Invitrogen™ PA5121603
This item is not returnable.
View return policy
Description
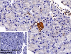
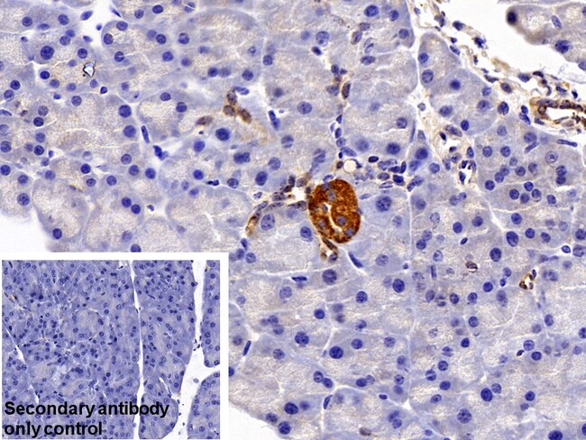
Slc30A8 Polyclonal Antibody for Western Blot, IHC (P)
Slc30A8 is a zinc efflux transporter involved in the accumulation of zinc in intracellular vesicles and is expressed at a high level in the pancreas, particularly in islets of Langerhans, and co-localizes with insulin in the secretory pathway granules of the insulin-secreting INS-1 cells. Allelic variants of Slc30A8 have been identified as major genetic risk factors for the development of Type 2 diabetes, but no genetic association has been found with Type 1 diabetes. Slc30A8 expression in b-cells was found to be influenced by cytokine expression, particularly IFN-gamma and IL-1 beta.
Specifications
Slc30A8 | |
Polyclonal | |
Unconjugated | |
SLC30A8 | |
C820002P14Rik; LOW QUALITY PROTEIN: uncharacterized protein slc30a8; Slc30a8; solute carrier family 30 (zinc transporter), member 8; solute carrier family 30 member 8; wu:fe49g03; Zinc transporter 8; zinc transporter 8; LOW QUALITY PROTEIN: zinc transporter 8; zinc transporter ZnT-8; Znt8; ZnT-8 | |
Rabbit | |
Antigen affinity chromatography, Protein A | |
RUO | |
169026, 239436 | |
Store at 4°C short term. For long term storage, store at -20°C, avoiding freeze/thaw cycles. | |
Liquid |
Immunohistochemistry (Paraffin), Western Blot | |
0.5 mg/mL | |
PBS with 50% glycerol and 0.05% ProClin 300; pH 7.4 | |
Q8BGG0, Q8IWU4 | |
SLC30A8 | |
Recombinant protein Solute Carrier Family 30 Member 8. The antigen corresponds to amino acid range 263-369 of the target protein. | |
20 μL | |
Primary | |
Human, Mouse | |
Antibody | |
IgG |
Product Content Correction
Your input is important to us. Please complete this form to provide feedback related to the content on this product.
Product Title
Spot an opportunity for improvement?Share a Content Correction