Promotional price valid on web orders only. Your contract pricing may differ. Interested in signing up for a dedicated account number?
Learn More
Learn More
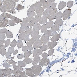
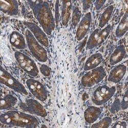
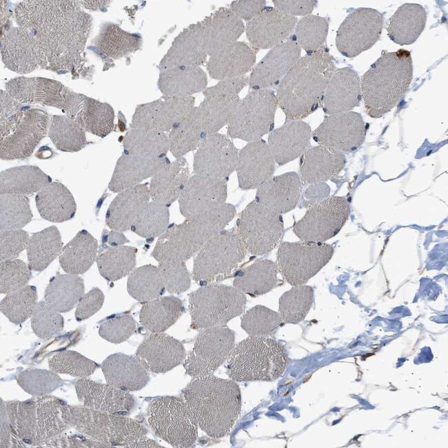
SLC36A4 Polyclonal Antibody

SLC36A4 Polyclonal Antibody
Supplier: Thermo Scientific PA553658
Description
SLC36A4 Polyclonal Antibody for ICC/IF, IHC

Specifications
SLC36A4 | |
Polyclonal | |
Unconjugated | |
SLC36A4 | |
6330573I15Rik; PAT4; Proton/amino acid transporter 4; proton-coupled amino acid transporter 4; SLC36A4; solute carrier family 36 (proton/amino acid symporter), member 4; solute carrier family 36 member 4 | |
Rabbit | |
Antigen Affinity Chromatography | |
RUO | |
120103 | |
Store at 4°C short term. For long term storage, store at -20°C, avoiding freeze/thaw cycles. | |
Liquid |
Immunohistochemistry (Paraffin), Immunocytochemistry | |
0.20 mg/mL | |
PBS with 40% glycerol and 0.02% sodium azide; pH 7.2 | |
Q6YBV0 | |
SLC36A4 | |
Recombinant protein corresponding to Human SLC36A4. Recombinant protein control fragment (Product #RP-91238). | |
100 μL | |
Primary | |
Human | |
Antibody | |
IgG |
Safety and Handling
WARNING: Cancer - www.P65Warnings.ca.gov
Product Content Correction
Your input is important to us. Please complete this form to provide feedback related to the content on this product.
Product Title
Spot an opportunity for improvement?Share a Content Correction