Promotional price valid on web orders only. Your contract pricing may differ. Interested in signing up for a dedicated account number?
Learn More
Learn More
Invitrogen™ SLC37A2 Polyclonal Antibody

Rabbit Polyclonal Antibody
Supplier: Invitrogen™ PA520916
Description
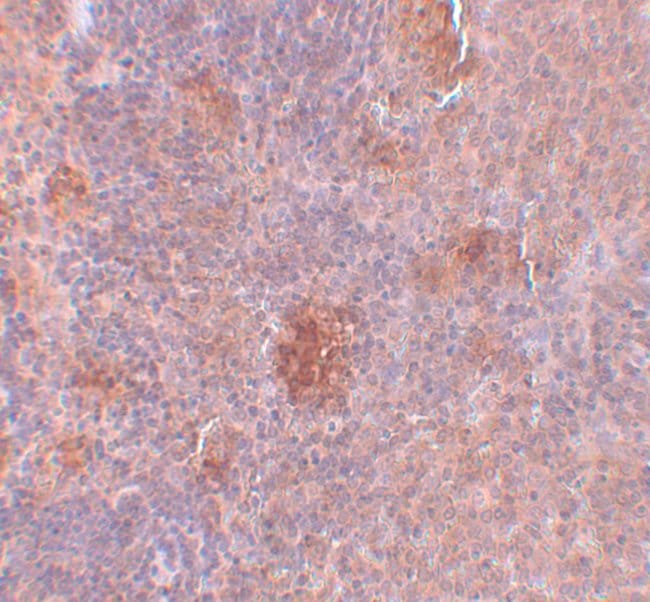
A suggested positive control is mouse spleen tissue lysate. PA5-20916 can be used with blocking peptide PEP-1030.
The Slc37 gene family consists of four members which have 10-12 predicted transmembrane domains and belong to the sugar-phosphate transporter superfamily. Recent experiments have demonstrated that Slc37A2 is a macrophage-specific gene selectively expressed in obese white adipose tissue. Its transcript is also expressed in spleen and thymus and the cell lines RAW264.7 and THP-1. Compared to wild-type mice, Slc37A2 mRNA is expressed at nine-fold higher levels in abdominal epididymal fat deposits of ob/ob mice, suggesting that it may be required to limit the contribution of macrophages to the inflammatory state present in obesity. Slc37A2 protein is post-translationally modified with the addition of N-linked glycans and migrates as a heterogeneous species of 50-75 kDa.
Specifications
| SLC37A2 | |
| Polyclonal | |
| Unconjugated | |
| SLC37A2 | |
| cAMP inducible 2 protein; cAMP inducible gene 2; cAMP-inducible protein 2; ci2; cI-2; G3PP; glucose-6-phosphate exchanger SLC37A2; pp11662; RGD1564160; Slc37a1; SLC37A2; solute carrier family 37 (glucose-6-phosphate transporter), member 2; solute carrier family 37 (glycerol-3-phosphate transporter), member 1; solute carrier family 37 (glycerol-3-phosphate transporter), member 2; solute carrier family 37 member 2; sugar phosphate exchanger 2 | |
| Rabbit | |
| Antigen affinity chromatography | |
| RUO | |
| 219855, 500973, 56857 | |
| Maintain refrigerated at 2°C to 8°C for up to 3 months. For long term storage store at -20°C | |
| Liquid |
| Immunohistochemistry, Western Blot | |
| 1 mg/mL | |
| PBS with 0.02% sodium azide | |
| Q8TED4, Q9WU81 | |
| SLC37A2 | |
| A 15 amino acid peptide near the center of human Slc37A2. | |
| 100 μg | |
| Primary | |
| Human, Mouse, Rat | |
| Antibody | |
| IgG |
Product Content Correction
Your input is important to us. Please complete this form to provide feedback related to the content on this product.
Product Title
Spot an opportunity for improvement?Share a Content Correction