Promotional price valid on web orders only. Your contract pricing may differ. Interested in signing up for a dedicated account number?
Learn More
Learn More
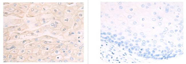
Invitrogen™ SLC8B1 Polyclonal Antibody

Rabbit Polyclonal Antibody
Supplier: Invitrogen™ PA551259
Description
The antibody detects endogenous levels of total SLC8B1 protein.
SLC24A6 belongs to a family of potassium-dependent sodium/calcium exchangers that maintain cellular calcium homeostasis through the electrogenic counter transport of 4 sodium ions for 1 calcium ion and 1 potassium ion.
Specifications
| SLC8B1 | |
| Polyclonal | |
| Unconjugated | |
| SLC8B1 | |
| AF261233; Mitochondrial sodium/calcium exchanger protein; Na(+)/K(+)/Ca(2+)-exchange protein 6; Nckx6; NCLX; Slc24a6; Slc8b1; Sodium/calcium exchanger protein, mitochondrial; Sodium/potassium/calcium exchanger 6; sodium/potassium/calcium exchanger 6, mitochondrial; solute carrier family 24 (sodium/lithium/calcium exchanger), member 6; solute carrier family 24 (sodium/potassium/calcium exchanger), member 6; solute carrier family 24 member 6; solute carrier family 8 (sodium/lithium/calcium exchanger), member B1; solute carrier family 8 member B1 | |
| Rabbit | |
| Antigen affinity chromatography | |
| RUO | |
| 80024 | |
| -20°C | |
| Liquid |
| Immunohistochemistry (Paraffin), Western Blot | |
| 0.6 mg/mL | |
| PBS with 40% glycerol and 0.05% sodium azide; pH 7.4 | |
| Q6J4K2 | |
| SLC8B1 | |
| Synthetic peptide of human SLC8B1. | |
| 100 μL | |
| Primary | |
| Human | |
| Antibody | |
| IgG |
Product Content Correction
Your input is important to us. Please complete this form to provide feedback related to the content on this product.
Product Title
Spot an opportunity for improvement?Share a Content Correction