Learn More
Description
Specifications
Specifications
| Antigen | Smad3 |
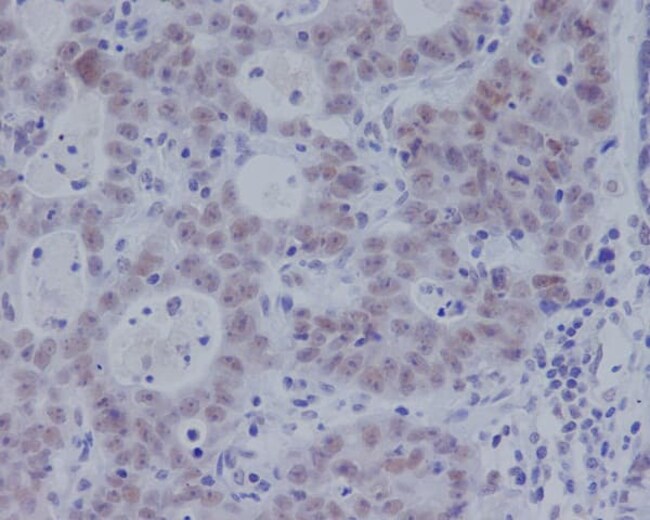
| Applications | Western Blot, Immunohistochemistry, Immunofluorescence |
| Classification | Monoclonal |
| Clone | SR1995 |
| Conjugate | Unconjugated |
| Dilution | Western Blot 1:500-1:2000, Immunohistochemistry 1:50-1:200, Immunocytochemistry/Immunofluorescence 1:50-1:200 |
| Formulation | PBS, pH 7.4, 150mM NaCl, 50% glycerol. |
| Gene Alias | DKFZp586N0721, DKFZp686J10186, hMAD-3, hSMAD3, HsT17436, JV15-2MGC60396, MAD homolog 3, mad protein homolog, MAD, mothers against decapentaplegic homolog 3, MAD, mothers against decapentaplegic homolog 3 (Drosophila), mad3, MADH3mad homolog JV15-2, mothers against decapentaplegic homolog 3, Mothers against DPP homolog 3, SMA- and MAD-related protein 3, SMAD 3, SMAD family member 3HSPC193, SMAD, mothers against DPP homolog 3, SMAD, mothers against DPP homolog 3 (Drosophila), Smad3 |
| Host Species | Rabbit |
| Immunogen | A synthesized peptide derived from human phospho-Smad3 [Ser423, Ser425] (Uniprot #: P84022) |
| Show More |
By clicking Submit, you acknowledge that you may be contacted by Fisher Scientific in regards to the feedback you have provided in this form. We will not share your information for any other purposes. All contact information provided shall also be maintained in accordance with our Privacy Policy.
