Promotional price valid on web orders only. Your contract pricing may differ. Interested in signing up for a dedicated account number?
Learn More
Learn More
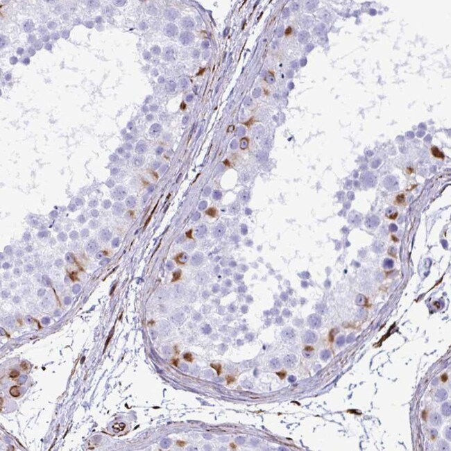
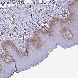
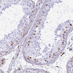
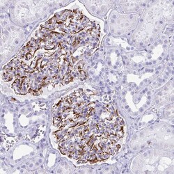
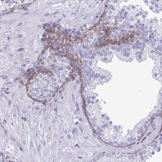
Invitrogen™ SMAD5 Polyclonal Antibody

Rabbit Polyclonal Antibody
Supplier: Invitrogen™ PA5111474
Description
Immunogen sequence: PDDQMGQDNS QPMDTSNNMI PQIMPSISSR DVQPVAYE.
SMADs are members of the MAD-related family of molecules. MAD-related proteins are a family of intracellular proteins that are essential components in the signaling pathways of the serine/threonine kinase receptors of the transforming growth factor beta superfamily. SMADs can be divided into receptor-regulated SMADs (R-SMADs: SMAD1, 2, 5, 8 and 9), common-mediator SMAD (co-SMAD: SMAD4), and inhibitory SMADs (I-SMADs: SMAD6 and 7). SMAD1, 5, 8 and 9 have high degrees of homology and antibodies are available that recognize sequences common to all of them. SMAD8 and SMAD9 are typically used as alternate names for one another in the literature.
Specifications
| SMAD5 | |
| Polyclonal | |
| PBS with 40% glycerol and 0.02% sodium azide; pH 7.2 | |
| Q99717 | |
| SMAD5 | |
| Recombinant Protein corresonding to Human SMAD5. Recombinant protein control fragment (Product #RP-100022). | |
| 100 μL | |
| Primary | |
| Human | |
| Antibody | |
| IgG |
| Immunohistochemistry (Paraffin), Western Blot, Immunocytochemistry | |
| Unconjugated | |
| SMAD5 | |
| 1110051M15Rik; AI451355; DKFZp781C1895; DKFZp781O1323; dwarfin-C; DWFC; Dwf-C; hSmad5; JV5-1; MAD homolog 5; MAD, mothers against decapentaplegic homolog 5; Madh5; Mothers against decapentaplegic homolog 5; mothers against decapentaplegic, drosophila, homolog of, 5; mothers against DPP homolog 5; mSmad5; MusMLP; OTTHUMP00000223331; SMA- and MAD-related protein 5; SMAD; SMAD 5; SMAD family member 5; SMAD, mothers against DPP homolog 5; SMAD5 | |
| Rabbit | |
| Antigen Affinity Chromatography | |
| RUO | |
| 4090 | |
| Store at 4°C short term. For long term storage, store at -20°C, avoiding freeze/thaw cycles. | |
| Liquid |
Product Content Correction
Your input is important to us. Please complete this form to provide feedback related to the content on this product.
Product Title
Spot an opportunity for improvement?Share a Content Correction