Promotional price valid on web orders only. Your contract pricing may differ. Interested in signing up for a dedicated account number?
Learn More

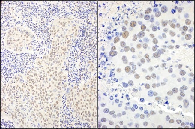
SMAR1/BANP Rabbit anti-Human, Mouse, Rat, Polyclonal, Bethyl Laboratories

Rabbit Polyclonal Antibody

Supplier:  Bethyl Laboratories, Inc A300279A

Encompass_Preferred

Catalog No. 50-155-7272


May include imposed supplier surcharges.
Only null left
Add to Cart

Description

Description

The recommended shelf life for this product is 1 year from date of receipt. Application Note: For IHC, epitope retrieval with citrate buffer pH 6.0 is recommended for FFPE tissue sections. Based on 100% sequence identity, this antibody is predicted to react with Bovine

BANP was initially identified as a binding protein to BTG3 in a yeast two-hybrid screen. BANP acts as a tumor suppressor by stabilizing p53 expression and leading to cell cycle arrest. p53 in turn binds to upstream elements of the BANP promoter, thereby forming a feedback loop. BANP is down-regulated in advanced stages of human breast cancer, and its overexpression in breast cancer cell lines inhibits their ability to metastasize by modulating TGF-beta signaling. Furthermore, BANP can modulate NF-kappa-B transactivation and can inhibit tumorigenesis by regulating NF-kappa-B target genes. Recent experiments have shown that BANP can also repress HIV-1 LTR mediated transcription by tethering the LTR matrix attachment region to nuclear matrix.
Specifications

Specifications

SMAR1/BANP
Polyclonal
Unconjugated
BANP
BEND1, SMAR1, SMARBP1; BEN domain-containing protein 1; protein BANP; scaffold/matrix-associated region-1-binding protein
Rabbit
Antigen affinity chromatography
RUO
292064, 53325, 54971
4° C
Liquid
Immunohistochemistry, Immunoprecipitation, Western Blot
1 mg/ml
phosphate, tris citrate with 0.09% sodium azide; pH 7-8
Q8N9N5, Q8VBU8
BANP
Between 425 and C-term
100 μL
Primary
Human, Mouse, Rat
Antibody
IgG
Product Suggestions

Product Suggestions

Videos
SDS
Documents

Documents

Product Certifications
Promotions

Promotions

Product Content Correction

The Fisher Scientific Encompass Program offers items which are not part of our distribution portfolio. These products typically do not have pictures or detailed descriptions. However, we are committed to improving your shopping experience. Please use the form below to provide feedback related to the content on this product.

Product Title

By clicking Submit, you acknowledge that you may be contacted by Fisher Scientific in regards to the feedback you have provided in this form. We will not share your information for any other purposes. All contact information provided shall also be maintained in accordance with our Privacy Policy.

Your feedback has been submitted: Thank you for helping us improve our website.