Promotional price valid on web orders only. Your contract pricing may differ. Interested in signing up for a dedicated account number?
Learn More
Learn More
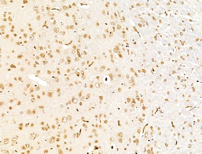
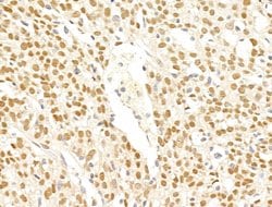
Invitrogen™ SMG1 Polyclonal Antibody

Rabbit Polyclonal Antibody
Supplier: Invitrogen™ PA5115933
Description
Antibody detects endogenous levels of total Smg1.
This gene encodes a protein involved in nonsense-mediated mRNA decay as part of the mRNA surveillance complex. The protein has kinase activity and is thought to function in NMD by phosphorylating the regulator of nonsense transcripts 1 protein. Alternative spliced transcript variants have been described, but their full-length natures have not been determined.
Specifications
| SMG1 | |
| Polyclonal | |
| Unconjugated | |
| SMG1 | |
| 2610207I05Rik; 5430435M13Rik; 61E3.4; ATX; C130002K18Rik; hSMG-1; KIAA0421; lambda/iota protein kinase C-interacting protein; Lambda-interacting protein; LIP; mKIAA0421; phosphatidylinositol 3-kinase-related protein kinase; PI-3-kinase-related kinase SMG-1; RGD1563508; serine/threonine-protein kinase SMG1; SMG1; SMG-1; smg-1 homolog, phosphatidylinositol 3-kinase-related kinase; SMG1 homolog, phosphatidylinositol 3-kinase-related kinase (C. elegans); SMG1 phosphatidylinositol 3-kinase-related kinase; SMG1, nonsense mediated mRNA decay associated PI3K related kinase | |
| Rabbit | |
| Affinity Chromatography | |
| RUO | |
| 23049, 233789, 691397 | |
| -20°C | |
| Liquid |
| Immunohistochemistry (Paraffin), Western Blot, Immunocytochemistry | |
| 1 mg/mL | |
| PBS with 50% glycerol and 0.02% sodium azide | |
| Q8BKX6, Q96Q15 | |
| SMG1 | |
| A synthesized peptide derived from human SMG1(Accession Q96Q15), corresponding to amino acid residues Q3603-L3653. | |
| 100 μL | |
| Primary | |
| Human, Mouse, Rat | |
| Antibody | |
| IgG |
Product Content Correction
Your input is important to us. Please complete this form to provide feedback related to the content on this product.
Product Title
Spot an opportunity for improvement?Share a Content Correction