Promotional price valid on web orders only. Your contract pricing may differ. Interested in signing up for a dedicated account number?
Learn More
Learn More
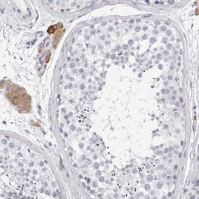
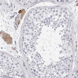
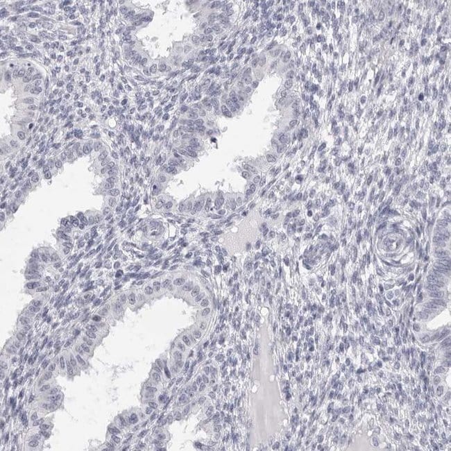
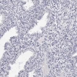
Invitrogen™ SMIM2 Polyclonal Antibody

Rabbit Polyclonal Antibody
Supplier: Invitrogen™ PA555454
Description
Immunogen sequence: SPDVSASSDE PYARIQQSRR QCHAEEDQSQ VPEAG Highest antigen sequence identity to the following orthologs: Mouse - 42%, Rat - 38%.
Specifications
| SMIM2 | |
| Polyclonal | |
| Unconjugated | |
| SMIM2 | |
| C13orf44; Small integral membrane protein 2; SMIM2 | |
| Rabbit | |
| Antigen Affinity Chromatography | |
| RUO | |
| 79024 | |
| Store at 4°C short term. For long term storage, store at -20°C, avoiding freeze/thaw cycles. | |
| Liquid |
| Immunohistochemistry (Paraffin) | |
| 0.2 mg/mL | |
| PBS with 40% glycerol and 0.02% sodium azide; pH 7.2 | |
| Q9BVW6 | |
| SMIM2 | |
| Recombinant protein corresponding to Human SMIM2. Recombinant protein control fragment (Product #RP-90276). | |
| 100 μL | |
| Primary | |
| Human | |
| Antibody | |
| IgG |
Product Content Correction
Your input is important to us. Please complete this form to provide feedback related to the content on this product.
Product Title
Spot an opportunity for improvement?Share a Content Correction