Promotional price valid on web orders only. Your contract pricing may differ. Interested in signing up for a dedicated account number?
Learn More
Learn More
SMS Mouse anti-Canine, Human, Mouse, Rat, Clone: OTI3C9, liquid, TrueMAB™

Mouse Monoclonal Antibody
Supplier: OriGene TA503099

Description
Catalyzes the production of spermine from spermidine and decarboxylated S-adenosylmethionine (dcSAM).Specifications
SMS | |
Monoclonal | |
0.92 mg/mL | |
PBS with 1% BSA, 50% glycerol and 0.02% sodium azide | |
P52788, P97355 | |
SMS | |
Full length human recombit protein of human SMS produced in HEK293T cell. | |
100 μL | |
Primary | |
Canine, Human, Mouse, Rat | |
Antibody | |
IgG2b |
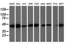
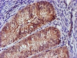
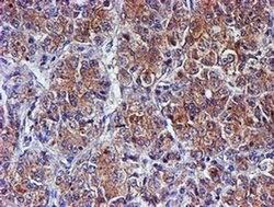
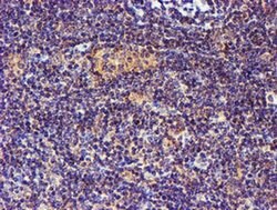
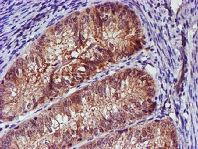
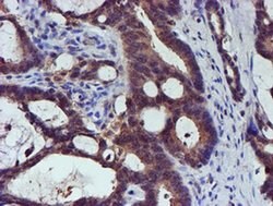
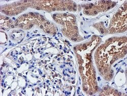
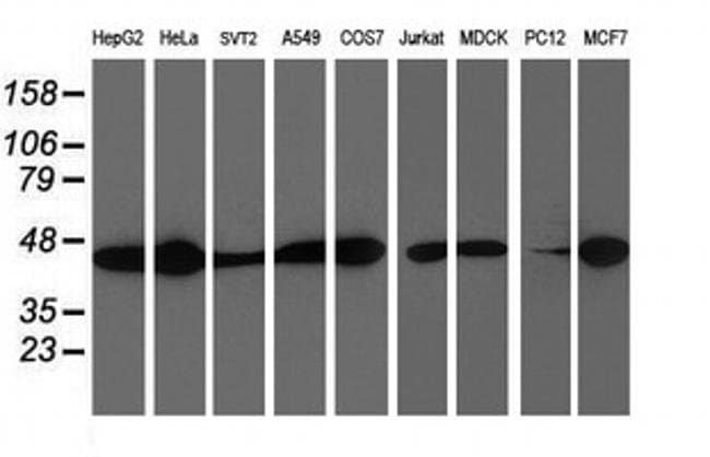
Flow Cytometry, Immunocytochemistry, Immunofluorescence, Immunohistochemistry (Paraffin), Western Blot | |
OTI3C9 | |
Unconjugated | |
SMS | |
MRSR, SPMSY, SRS, SpS | |
Mouse | |
Affinity Chromatography | |
RUO | |
20603, 363469, 480861, 6611 | |
-20° C, Avoid Freeze/Thaw Cycles | |
Liquid |
Product Content Correction
The Fisher Scientific Encompass Program offers items which are not part of our distribution portfolio. These products typically do not have pictures or detailed descriptions. However, we are committed to improving your shopping experience. Please use the form below to provide feedback related to the content on this product.
Product Title
Spot an opportunity for improvement?Share a Content Correction