Promotional price valid on web orders only. Your contract pricing may differ. Interested in signing up for a dedicated account number?
Learn More
Learn More
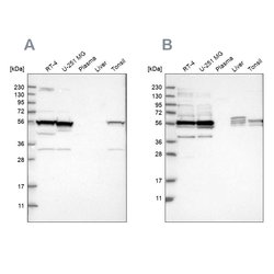
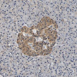
Invitrogen™ SMU1 Polyclonal Antibody

Rabbit Polyclonal Antibody
Supplier: Invitrogen™ PA554062
Description
Immunogen sequence: SIEIESSDVI RLIMQYLKEN SLHRALATLQ EETTVSLNTV DSIESFVADI NSGHWDTVLQ AIQSLKLPDK TLIDLYEQVV LELIELRELG AARSLLRQTD PMIML Highest antigen sequence identity to the following orthologs: Mouse - 100%, Rat - 100%.
SMU1 (suppressor of Mec8 and Unc-52 homolog), also known as BWD (brain-enriched WD), is a member of the WD-repeat SMU1 family and contains one CTLH domain, one LisH domain and six WD-repeats. SMU1 is a homolog of the C. elegans protein Smu1, a ubiquitously expressed nuclear protein that is believed to play a role in alternative splicing events of Unc-52. In mammals, SMU1 is a component of the spliceosome and appears to exhibit a conserved function, affecting the splicing of the mammalian Unc-52 homolog, namely Perlecan. Mutations in the gene encoding SMU1 may affect the function of the spliceosome.
Specifications
SMU1 | |
Polyclonal | |
Unconjugated | |
Smu1 | |
2600001O03Rik; 2610203K23Rik; AB044414; AI845086; AW556129; Brain-enriched WD repeat-containing protein; brain-enriched WD-repeat protein; BWD; DNA replication regulator and spliceosomal factor; fSAP57; functional spliceosome-associated protein 57; homolog of C. elegans smu-1; SMU1; SMU-1; smu-1 suppressor of mec-8 and unc-52 homolog; smu-1 suppressor of mec-8 and unc-52 homolog (C. elegans); smu-1 suppressor of mec-8 and unc-52 protein homolog; suppressor of Mec and Unc defects 1 homolog; WD40 repeat-containing protein SMU1; WD40 repeat-containing protein SMU1, N-terminally processed | |
Rabbit | |
Antigen affinity chromatography | |
RUO | |
117541, 55234, 74255 | |
Store at 4°C short term. For long term storage, store at -20°C, avoiding freeze/thaw cycles. | |
Liquid |
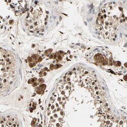
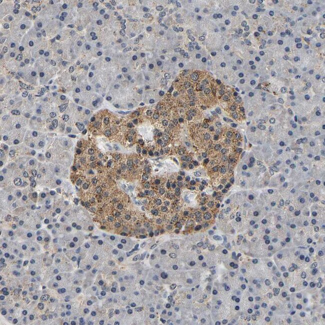
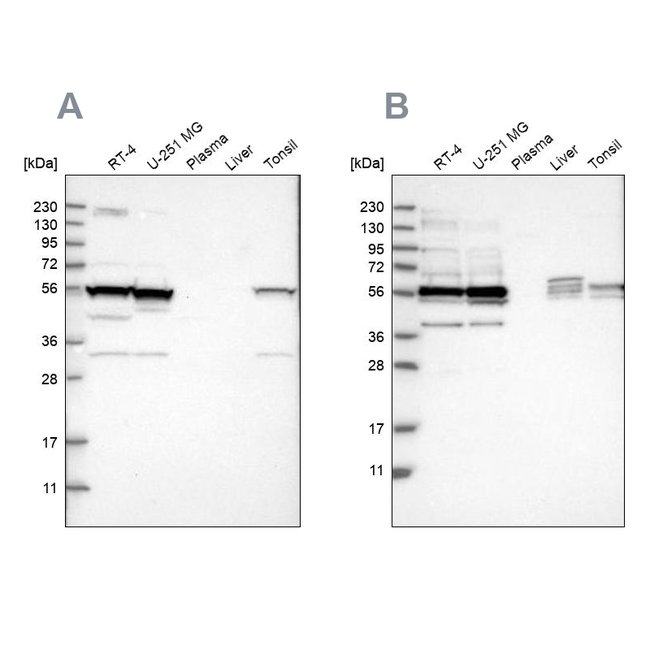
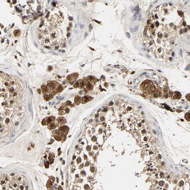
Immunohistochemistry (Paraffin), Western Blot, Immunocytochemistry | |
0.40 mg/mL | |
PBS with 40% glycerol and 0.02% sodium azide; pH 7.2 | |
Q2TAY7, Q3UKJ7, Q99M63 | |
Smu1 | |
Recombinant protein corresponding to Human SMU1. Recombinant protein control fragment (Product #RP-92934). | |
100 μL | |
Primary | |
Human, Mouse, Rat | |
Antibody | |
IgG |
Product Content Correction
Your input is important to us. Please complete this form to provide feedback related to the content on this product.
Product Title
Spot an opportunity for improvement?Share a Content Correction