Promotional price valid on web orders only. Your contract pricing may differ. Interested in signing up for a dedicated account number?
Learn More
Learn More
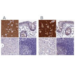
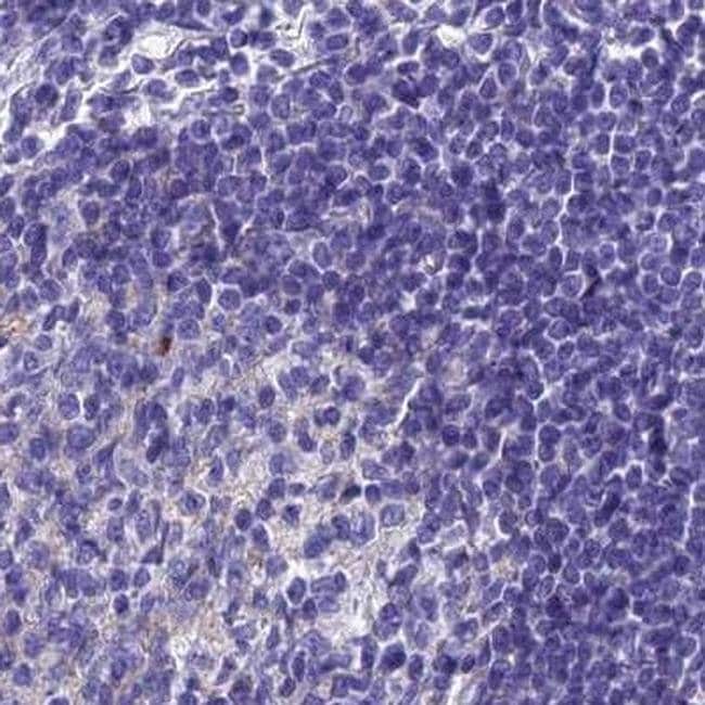
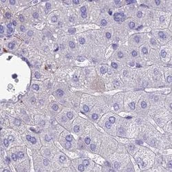
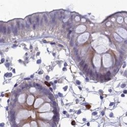
Invitrogen™ SNAP91 Polyclonal Antibody

Rabbit Polyclonal Antibody
Supplier: Invitrogen™ PA556217
Description
Immunogen sequence: APSEGSAEAA PELDLFAMKP PETSVPVVTP TASTAPPVPA TAPSPAPAVA AAAAATTAAT AAATTTTTTS AATATTAPPA LDIFGDLFES TP Highest antigen sequence identity to the following orthologs: Mouse - 86%, Rat - 86%.
Clathrin coat assembly protein AP180 is a protein that in humans is encoded by the SNAP91 gene. Adaptins are components of the adapter complexes which link clathrin to receptors in coated vesicles. Clathrin-associated protein complexes are believed to interact with the cytoplasmic tails of membrane proteins, leading to their selection and concentration. Binding of AP180 to clathrin triskelia induces their assembly into 60-70 nm coats.
Specifications
SNAP91 | |
Polyclonal | |
Unconjugated | |
Snap91 | |
91 kDa synaptosomal-associated protein; 91kDa; Ap180; assembly protein 180 (AP180); assembly protein, 180kDa; CALM; Clathrin coat assembly protein AP180; clathrin coat-associated protein AP180; F1-20; KIAA0656; mKIAA0656; phosphoprotein F1-20; SNAP91; synaptosomal-associated protein 91; synaptosomal-associated protein 91 kDa; synaptosomal-associated protein, 91 kDa; synaptosomal-associated protein, 91kDa homolog; synaptosome associated protein 91; synaptosome associated protein 91kDa | |
Rabbit | |
Antigen affinity chromatography | |
RUO | |
9892 | |
Store at 4°C short term. For long term storage, store at -20°C, avoiding freeze/thaw cycles. | |
Liquid |
Immunohistochemistry (Paraffin) | |
0.05 mg/mL | |
PBS with 40% glycerol and 0.02% sodium azide; pH 7.2 | |
O60641 | |
Snap91 | |
Recombinant protein corresponding to Human SNAP91. Recombinant protein control fragment (Product #RP-94629). | |
100 μL | |
Primary | |
Human | |
Antibody | |
IgG |
Product Content Correction
Your input is important to us. Please complete this form to provide feedback related to the content on this product.
Product Title
Spot an opportunity for improvement?Share a Content Correction