Promotional price valid on web orders only. Your contract pricing may differ. Interested in signing up for a dedicated account number?
Learn More
Learn More
Invitrogen™ SnoN Polyclonal Antibody

Rabbit Polyclonal Antibody
Supplier: Invitrogen™ PA520306
Description
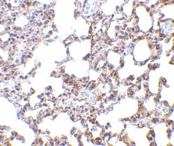
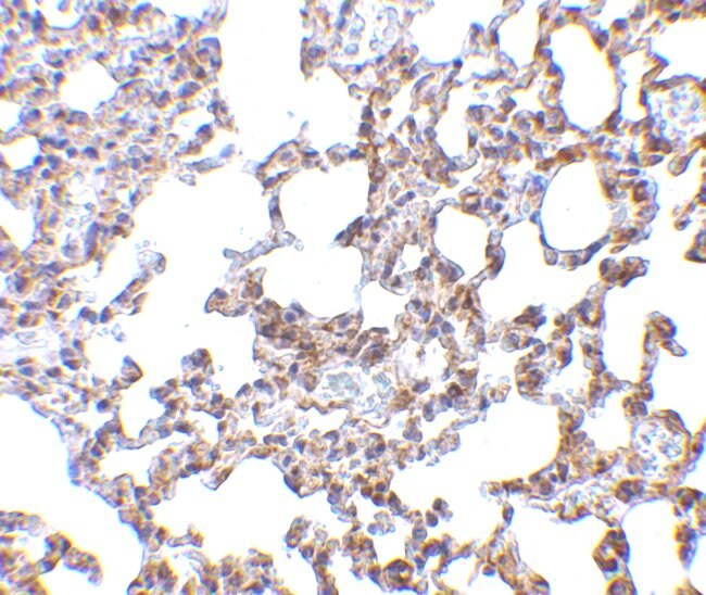
A suggested positive control is A431 cell lysate. PA5-20306 can be used with blocking peptide PEP-0400.
TGF-beta is a ubiquitously expressed cytokine that signals through the Smad protein family to regulate numerous cellular processes such as embryonic development and tumorigenesis. This signaling is negatively regulated by Ski, the mammalian homolog of the transforming protein of an avian retrovirus that induces oncogenic transformation of chicken embryo cells, and the related protein SnoN. Like Ski, SnoN functions by binding to the Smad proteins and preventing their phosphorylation, thereby inhibiting their ability to bind DNA and activate the transcription of downstream genes. SnoN is located primarily in the nucleus in cancer tissues or cells, but in the cytoplasm in normal tissues or primary epithelial cells.
Specifications
SnoN | |
Polyclonal | |
Unconjugated | |
SKIL | |
EGK_11909; LOW QUALITY PROTEIN: ski-like protein; SKI like proto-oncogene; ski/sno related; SKIL; SKI-like; SKI-like oncogene; ski-like protein; ski-like protein-like; SKI-like proto-oncogene; Skir; ski-related oncogene; ski-related oncogene snoN; Ski-related protein; SNO; SnoA; SnoI; SnoN; v-ski sarcoma viral oncogene homolog | |
Rabbit | |
Antigen Affinity Chromatography | |
RUO | |
114208, 20482, 6498 | |
Maintain refrigerated at 2-8°C for up to 3 months. For long term storage store at -20°C | |
Liquid |
Immunohistochemistry, Western Blot, Immunocytochemistry | |
1 mg/mL | |
PBS with 0.02% sodium azide | |
P12757, Q60665 | |
SKIL | |
A 16 amino acid peptide from near the amino terminus of human SnoN. | |
100 μg | |
Primary | |
Human, Mouse, Rat | |
Antibody | |
IgG |
Safety and Handling
WARNING: Cancer - www.P65Warnings.ca.gov
Product Content Correction
Your input is important to us. Please complete this form to provide feedback related to the content on this product.
Product Title
Spot an opportunity for improvement?Share a Content Correction