Promotional price valid on web orders only. Your contract pricing may differ. Interested in signing up for a dedicated account number?
Learn More
Learn More
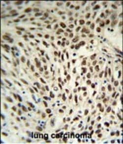
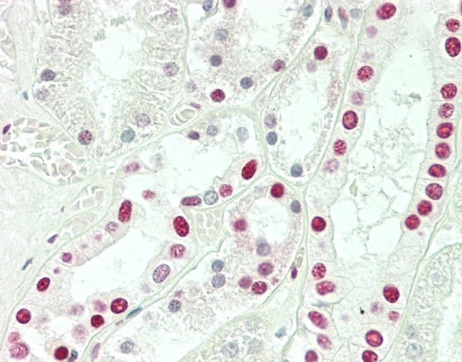
Invitrogen™ SNRPD3 Polyclonal Antibody

Rabbit Polyclonal Antibody
Supplier: Invitrogen™ PA526288
Description
This antibody is predicted to react with mouse and Xenopus based on sequence homology.
This gene encodes a core component of the spliceosome, which is a nuclear ribonucleoprotein complex that functions in pre-mRNA splicing. Alternative splicing results in multiple transcript variants.
Specifications
| SNRPD3 | |
| Polyclonal | |
| Unconjugated | |
| Snrpd3 | |
| 1700043E15Rik; 2310009E13Rik; AW046420; small nuclear ribonucleoprotein D3; small nuclear ribonucleoprotein D3 polypeptide; small nuclear ribonucleoprotein D3 polypeptide 18kDa; small nuclear ribonucleoprotein Sm D3; SMD3; Sm-D3; snRNP core protein D3; SNRPD3 | |
| Rabbit | |
| Antigen affinity chromatography, Protein A | |
| RUO | |
| 6634 | |
| Store at 4°C short term. For long term storage, store at -20°C, avoiding freeze/thaw cycles. | |
| Liquid |
| Flow Cytometry, Immunohistochemistry (Paraffin), Western Blot | |
| 0.5 mg/mL | |
| PBS with 0.09% sodium azide; pH 7.4 | |
| P62318 | |
| Snrpd3 | |
| KLH conjugated synthetic peptide between 99-126 amino acids from the C-terminal region of human SNRPD3. | |
| 400 μL | |
| Primary | |
| Human | |
| Antibody | |
| IgG |
Safety and Handling
WARNING: Cancer - www.P65Warnings.ca.gov
Product Content Correction
Your input is important to us. Please complete this form to provide feedback related to the content on this product.
Product Title
Spot an opportunity for improvement?Share a Content Correction