Promotional price valid on web orders only. Your contract pricing may differ. Interested in signing up for a dedicated account number?
Learn More
Learn More
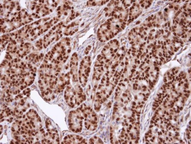
Invitrogen™ SNUPN Polyclonal Antibody

Rabbit Polyclonal Antibody
Supplier: Invitrogen™ PA528715
Description
Recommended positive controls: 293T, A431, H1299, HeLaS3. Predicted reactivity: Chimpanzee (100%). Store product as a concentrated solution. Centrifuge briefly prior to opening the vial.
This gene encodes a protein of unknown function. However, similarity to proteins in yeast and other species suggests that this protein may be an N-acetyltransferase.
Specifications
| SNUPN | |
| Polyclonal | |
| Unconjugated | |
| SNUPN | |
| 0610031A09Rik; hypothetical protein LOC515588; KPNBL; RNA U transporter 1; RNA, U transporter 1; Rnut1; Snupn; Snupn1; snurportin 1; Snurportin1; snurportin-1; snurportin-1-like protein; SPN1; wu:fc41a03; zgc:77819 | |
| Rabbit | |
| Antigen affinity chromatography | |
| RUO | |
| 10073 | |
| Store at 4°C short term. For long term storage, store at -20°C, avoiding freeze/thaw cycles. | |
| Liquid |
| Immunohistochemistry (Paraffin), Western Blot, Immunocytochemistry | |
| 0.31 mg/mL | |
| 0.1M tris glycine with 10% glycerol and 0.01% thimerosal; pH 7 | |
| O95149 | |
| SNUPN | |
| Carrier-protein conjugated synthetic peptide encompassing a sequence within the C-terminus region of human Snurportin 1. The exact sequence is proprietary. | |
| 100 μL | |
| Primary | |
| Human | |
| Antibody | |
| IgG |
Safety and Handling
WARNING: Cancer - www.P65Warnings.ca.gov
Product Content Correction
Your input is important to us. Please complete this form to provide feedback related to the content on this product.
Product Title
Spot an opportunity for improvement?Share a Content Correction