Promotional price valid on web orders only. Your contract pricing may differ. Interested in signing up for a dedicated account number?
Learn More
Learn More
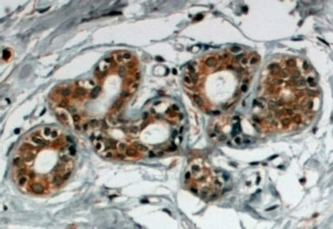
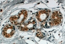
Invitrogen™ SNX5 Polyclonal Antibody

Goat Polyclonal Antibody
Supplier: Invitrogen™ PA518230
Description
This antibody is predicted to react with bovine, canine, mouse, porcine and rat based on sequence homology. This antibody is tested in Peptide ELISA: antibody detection limit dilution 32,000.
This gene encodes a member of the sorting nexin family. Members of this family contain a phox (PX) domain, which is a phosphoinositide binding domain, and are involved in intracellular trafficking. This protein binds to fanconi anemia complementation group A protein, but its function is unknown. This gene results in two transcript variants encoding the same protein.
Specifications
SNX5 | |
Polyclonal | |
Unconjugated | |
SNX5 | |
0910001N05Rik; 1810032P22Rik; AU019504; D2Ertd52e; FLJ10931; id:ibd5091; RP11-504H3.2; Snx5; snx5 protein; sorting nexin 5; sorting nexin-5; wu:fa66c10; wu:fi28h04; zgc:55769 | |
Goat | |
Ammonium sulfate precipitation | |
RUO | |
27131 | |
-20°C, Avoid Freeze/Thaw Cycles | |
Liquid |
Immunohistochemistry (Paraffin), Western Blot | |
0.5 mg/mL | |
TBS with 0.5% BSA and 0.02% sodium azide; pH 7.3 | |
Q9Y5X3 | |
SNX5 | |
Synthetic peptide sequence (SLLQSCIDLFKNN) corresponding to the C-terminus amino acids of SNX5 (aa 392-404). | |
100 μg | |
Primary | |
Human | |
Antibody | |
IgG |
Product Content Correction
Your input is important to us. Please complete this form to provide feedback related to the content on this product.
Product Title
Spot an opportunity for improvement?Share a Content Correction