Promotional price valid on web orders only. Your contract pricing may differ. Interested in signing up for a dedicated account number?
Learn More
Learn More
Invitrogen™ Sorbitol Dehydrogenase Polyclonal Antibody

Rabbit Polyclonal Antibody
Supplier: Invitrogen™ PA559228
Description
Immunogen sequence: PGDRVAIEPG APRENDEFCK MGRYNLSPSI FFCATPPDDG NLCRFYKHNA AFCYKLPDNV TFEEGALIEP LSVGIHACRR GG Highest antigen sequence identity to the following orthologs: Mouse - 88%, Rat - 89%.
Sorbitol dehydrogenase catalyzes the interconversion of polyols and their corresponding ketoses, and together with aldose reductase is the reduction of glucose to sorbitol by ALDR1 with NADPH as the cofactor. SORD then oxidizes the sorbitol to fructose using NADcofactor.
Specifications
Sorbitol Dehydrogenase | |
Polyclonal | |
Unconjugated | |
SORD | |
(R,R)-butanediol dehydrogenase; epididymis secretory sperm binding protein Li 95n; HEL-S-95n; L-iditol 2-dehydrogenase; LOW QUALITY PROTEIN: sorbitol dehydrogenase; polyol dehydrogenase; RDH; Ribitol dehydrogenase; SDH; Sdh1; Sdh-1; Sodh-1; Sorbitol dehydrogenase; sorbitol dehydrogenase 1; SORD; SORD 1; SORD1; XDH; Xylitol dehydrogenase | |
Rabbit | |
Antigen affinity chromatography | |
RUO | |
20322, 24788, 6652 | |
Store at 4°C short term. For long term storage, store at -20°C, avoiding freeze/thaw cycles. | |
Liquid |
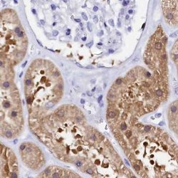
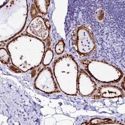
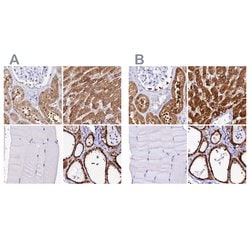
Immunohistochemistry (Paraffin), Western Blot | |
0.1 mg/mL | |
PBS with 40% glycerol and 0.02% sodium azide; pH 7.2 | |
P27867, Q00796, Q64442 | |
SORD | |
Recombinant protein corresponding to Human SorD. Recombinant protein control fragment (Product #RP-98093). | |
100 μL | |
Primary | |
Human, Mouse, Rat | |
Antibody | |
IgG |
Product Content Correction
Your input is important to us. Please complete this form to provide feedback related to the content on this product.
Product Title
Spot an opportunity for improvement?Share a Content Correction