Promotional price valid on web orders only. Your contract pricing may differ. Interested in signing up for a dedicated account number?
Learn More
Learn More
Invitrogen™ SOX10 Polyclonal Antibody

Goat Polyclonal Antibody
Supplier: Invitrogen™ PA547001
Description
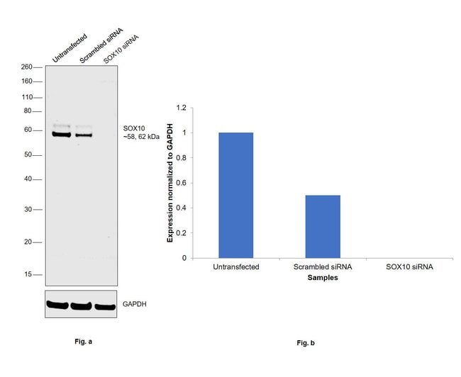
In direct ELISAs, less than 2% cross-reactivity with recombinant human (rh) SOX2, rhSOX7 and rhSOX17 is observed. Reconstitute at 0.2 mg/mL in sterile PBS.
SOX10 is a member of the SOX (SRY-related HMG-box) family of transcription factors involved in the regulation of embryonic development and in the determination of the cell fate. This protein may act as a transcriptional activator after forming a protein complex with other proteins. It acts as a nucleocytoplasmic shuttle protein and is important for neural crest and peripheral nervous system development. Mutations in this gene are associated with Waardenburg-Shah and Waardenburg-Hirschsprung disease.
Specifications
SOX10 | |
Polyclonal | |
Unconjugated | |
SOX10 | |
cls; cls/sox10; colorless; colourless; colourless/sox10; DOM; dominant megacolon; dominant megacolon, mouse, human homolog of; golas; gos; HMG-box transcription factor Sox10; MGC15649; PCWH; Protein SOX-21; SOX10; Sox-10; sox10 protein; sox10b; Sox21; SOX9; SRY; SRY (sex determining region Y)-box 10; SRY (sex determining region Y)-box 9 (campomelic dysplasia, autosomal sex-reversal); SRY box 10; SRY-box 10; SRY-box containing gene 10; SRY-box containing protein 10; SRY-box transcription factor 10; SRY-related HMG-box gene 10; transcription factor SOX-10; Transcription factor SOX-M; WS2E; WS4; WS4C; zgc:100757 | |
Goat | |
Antigen affinity chromatography | |
RUO | |
6663 | |
-20°C, Avoid Freeze/Thaw Cycles | |
Lyophilized |
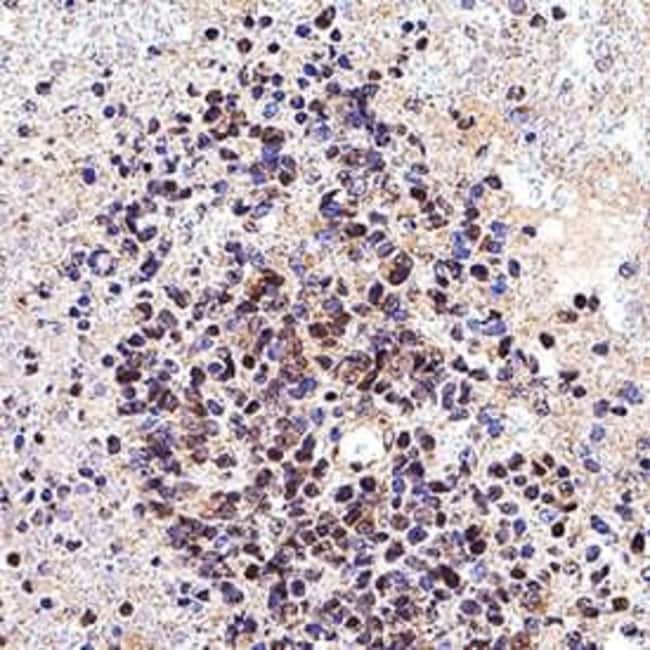
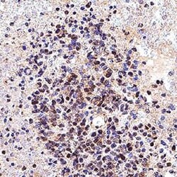
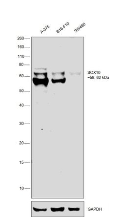
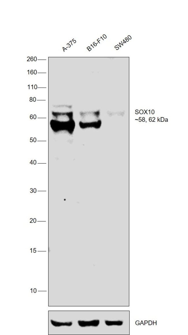
ChIP Assay, Immunohistochemistry (Paraffin), Western Blot, Immunocytochemistry | |
0.2 mg/mL | |
PBS with 5% trehalose and No Preservative | |
P56693 | |
SOX10 | |
E. coli-derived recombinant human SOX10 Met1-Ala118. | |
100 μg | |
Primary | |
Human | |
Antibody | |
IgG |
Product Content Correction
Your input is important to us. Please complete this form to provide feedback related to the content on this product.
Product Title
Spot an opportunity for improvement?Share a Content Correction