Promotional price valid on web orders only. Your contract pricing may differ. Interested in signing up for a dedicated account number?
Learn More
Learn More
SP1 Rabbit anti-Human, Clone: JF0950, Novus Biologicals™

Rabbit Monoclonal Antibody
Supplier: Novus Biologicals NBP267159
Description
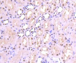
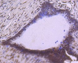
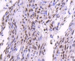
SP1 Monoclonal specifically detects SP1 in Human samples. It is validated for Western Blot, Immunohistochemistry, Immunocytochemistry/Immunofluorescence, Immunohistochemistry-Paraffin.Specifications
| SP1 | |
| Monoclonal | |
| 1 mg/mL | |
| Western Blot 1:100-1:2000, Immunohistochemistry 1:10 - 1:500, Immunocytochemistry/Immunofluorescence 1:100-1:500, Immunohistochemistry-Paraffin 1:50-1:200 | |
| Sp1 transcription factor, specificity protein 1, transcription factor Sp1, TSFP1 | |
| Rabbit | |
| Protein A purified | |
| Cancer, Phospho Specific, Transcription Factors and Regulators | |
| 6667 | |
| Store at 4°C short term. Aliquot and store at -20°C long term. Avoid freeze-thaw cycles. | |
| IgG |
| Western Blot, Immunohistochemistry, Immunocytochemistry, Immunofluorescence, Immunohistochemistry (Paraffin) | |
| JF0950 | |
| Unconjugated | |
| TBS (pH7.4), 0.05% BSA, 40% Glycerol with 0.05% Sodium Azide | |
| SP1 | |
| Synthetic peptide within Human SP1 aa 544-588/ 785. (SwissProt: P08047 Human) | |
| 100 μL | |
| Primary | |
| Human, Mouse | |
| Purified |
Product Content Correction
Your input is important to us. Please complete this form to provide feedback related to the content on this product.
Product Title
Spot an opportunity for improvement?Share a Content Correction