Promotional price valid on web orders only. Your contract pricing may differ. Interested in signing up for a dedicated account number?
Learn More
Learn More
Invitrogen™ SPAG16 Polyclonal Antibody

Rabbit Polyclonal Antibody
Supplier: Invitrogen™ PA557995
Description
Immunogen sequence: NLKKDLKHYK QAADKAREDL LKIQKERDFH RMHHKRIVQE KNKLINDLKG LKLHYASYEP TIRVLHEKHH TLLKEKMLTS LERDKVVG Highest antigen sequence identity to the following orthologs: Mouse - 89%, Rat - 90%.
Cilia and flagella are comprised of a microtubular backbone, the axoneme, which is organized by the basal body and surrounded by plasma membrane. SPAG16 encodes 2 major proteins that associate with the axoneme of sperm tail and the nucleus of postmeiotic germ cells, respectively.
Specifications
| SPAG16 | |
| Polyclonal | |
| Unconjugated | |
| SPAG16 | |
| 4921511D23Rik; 4930524F24Rik; 4930585K05Rik; AV261009; PF20; Pf20 protein homolog; RGD1565062; SPAG16; sperm associated antigen 16; sperm-associated antigen 16 protein; sperm-associated WD repeat protein; spg16; WD repeat domain 29; WDR29 | |
| Rabbit | |
| Antigen affinity chromatography | |
| RUO | |
| 501158, 66722, 79582 | |
| Store at 4°C short term. For long term storage, store at -20°C, avoiding freeze/thaw cycles. | |
| Liquid |
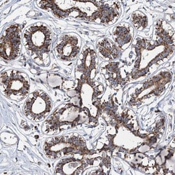
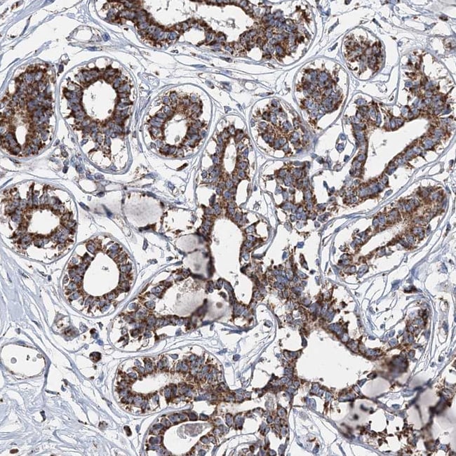
| Immunohistochemistry (Paraffin), Western Blot, Immunocytochemistry | |
| 0.4 mg/mL | |
| PBS with 40% glycerol and 0.02% sodium azide; pH 7.2 | |
| Q8K450, Q8N0X2 | |
| SPAG16 | |
| Recombinant protein corresponding to Human SPAG16. Recombinant protein control fragment (Product #RP-96130). | |
| 100 μL | |
| Primary | |
| Human, Mouse, Rat | |
| Antibody | |
| IgG |
Safety and Handling
WARNING: Cancer - www.P65Warnings.ca.gov
Product Content Correction
Your input is important to us. Please complete this form to provide feedback related to the content on this product.
Product Title
Spot an opportunity for improvement?Share a Content Correction