Learn More
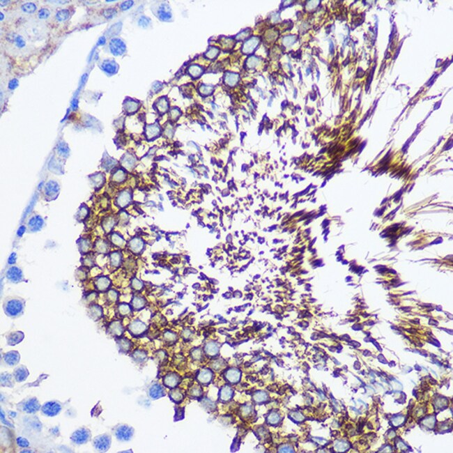
Invitrogen™ SPAM1 Polyclonal Antibody

Rabbit Polyclonal Antibody
Supplier: Invitrogen™ PA5116958
Description
Positive Samples: PC-3, Raji, BT-474 Immunogen sequence: PYIDSITGVT VNGGIPQKIS LQDHLDKAKK DITFYMPVDN LGMAVIDWEE WRPTWARNWK PKDVYKNRSI ELVQQQNVQL SLTEATEKAK QEFEKAGKDF LVETIKLGKL LRPNHLWGYY LFPDCYNHHY KKPGYNGSCF NVEIKRNDDL SWLWNESTAL YPSIYLNTQQ SPVAATLYVR NRVREAIRVS KIPDAKSPLP V.
Hyaluronidase degrades hyaluronic acid, a major structural proteoglycan found in extracellular matrices and basement membranes. Six members of the hyaluronidase family are clustered into two tightly linked groups on chromosome 3p21.3 and 7q31.3. This gene was previously referred to as HYAL1 and HYA1 and has since been assigned the official symbol SPAM1; another family member on chromosome 3p21.3 has been assigned HYAL1. This gene encodes a GPI-anchored enzyme located on the human sperm surface and inner acrosomal membrane. This multifunctional protein is a hyaluronidase that enables sperm to penetrate through the hyaluronic acid-rich cumulus cell layer surrounding the oocyte, a receptor that plays a role in hyaluronic acid induced cell signaling, and a receptor that is involved in sperm-zona pellucida adhesion. Abnormal expression of this gene in tumors has implicated this protein in degradation of basement membranes leading to tumor invasion and metastasis. Multiple transcript variants encoding different isoforms have been found for this gene.
Specifications
| SPAM1 | |
| Polyclonal | |
| Unconjugated | |
| SPAM1 | |
| AV039194; epididymis secretory sperm binding protein Li 96n; HEL-S-96n; HYA1; HYAL1; HYAL3; HYAL5; hyal-PH20; Hyaluronidase PH-20; hyaluronoglucosaminidase PH-20; MGC26532; PH20; Ph-20; PH-20 hyaluronidase; SPAG15; Spam; SPAM1; Sperm adhesion molecule 1; sperm adhesion molecule 1 (PH-20 hyaluronidase, zona pellucida binding); sperm surface antigen 2B1; Sperm surface protein PH-20 | |
| Rabbit | |
| Affinity chromatography | |
| RUO | |
| 117037, 20690, 6677 | |
| -20°C, Avoid Freeze/Thaw Cycles | |
| Liquid |
| ELISA, Immunohistochemistry (Paraffin), Western Blot, Immunocytochemistry | |
| 0.33 mg/mL | |
| PBS with 50% glycerol and 0.09% sodium azide; pH 7.3 | |
| P38567, P48794, Q62803 | |
| SPAM1 | |
| Recombinant fusion protein containing a sequence corresponding to amino acids 100-300 of human SPAM1 (NP_0031082). | |
| 100 μL | |
| Primary | |
| Human, Mouse, Rat | |
| Antibody | |
| IgG |
Your input is important to us. Please complete this form to provide feedback related to the content on this product.