Promotional price valid on web orders only. Your contract pricing may differ. Interested in signing up for a dedicated account number?
Learn More
Learn More
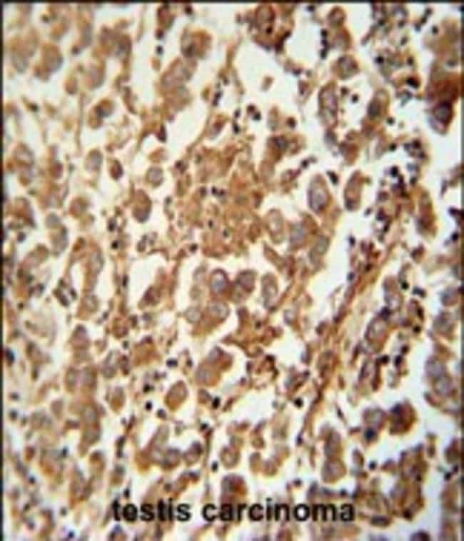
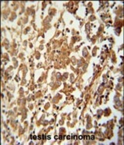
Invitrogen™ SPATC1 Polyclonal Antibody

Rabbit Polyclonal Antibody
Supplier: Invitrogen™ PA524120
Description
SPATC1 Polyclonal Antibody for Western Blot, IHC (P)
Specifications
| SPATC1 | |
| Polyclonal | |
| Unconjugated | |
| SPATC1 | |
| 1700084J23Rik; RGD1565316; SPATA15; Spatc1; Speriolin; spermatogenesis and centriole associated 1; spermatogenesis and centriole-associated protein 1; Spermatogenesis-associated protein 15; spermatogenic cell-specific Cdc20-binding protein; SPRN; testicular tissue protein Li 181 | |
| Rabbit | |
| Antigen Affinity Chromatography, Protein A | |
| RUO | |
| 375686, 74281 | |
| Store at 4°C short term. For long term storage, store at -20°C, avoiding freeze/thaw cycles. | |
| Liquid |
| Immunohistochemistry (Paraffin), Western Blot | |
| 0.25 mg/mL | |
| PBS with 0.09% sodium azide; pH 7.4 | |
| Q148B6, Q76KD6 | |
| SPATC1 | |
| KLH conjugated synthetic peptide between 1-30 amino acids from the N-terminal region of human SPATC1. | |
| 400 μL | |
| Primary | |
| Human, Mouse | |
| Antibody | |
| IgG |
Product Content Correction
Your input is important to us. Please complete this form to provide feedback related to the content on this product.
Product Title
Spot an opportunity for improvement?Share a Content Correction