Promotional price valid on web orders only. Your contract pricing may differ. Interested in signing up for a dedicated account number?
Learn More
Learn More
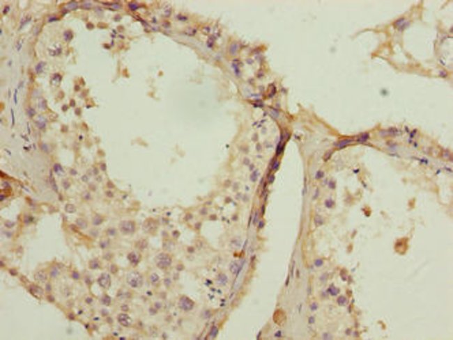
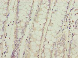
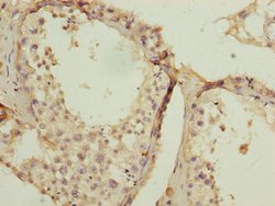
Invitrogen™ SPCS2 Polyclonal Antibody

Rabbit Polyclonal Antibody
Supplier: Invitrogen™ PA5112906
Description
SPCS2 Polyclonal Antibody for Western Blot, ICC/IF, IHC (P), ELISA
Component of the microsomal signal peptidase complex which removes signal peptides from nascent proteins as they are translocated into the lumen of the endoplasmic reticulum. [UniProt].
Specifications
| SPCS2 | |
| Polyclonal | |
| Unconjugated | |
| SPCS2 | |
| 5730406I15Rik; AA408713; KIAA0102; MGC117366; Microsomal signal peptidase 25 kDa subunit; mKIAA0102; Probable signal peptidase complex subunit 2; RGD1311253; signal peptidase 25kDa subunit; signal peptidase complex 25 kDa subunit; signal peptidase complex subunit 2; signal peptidase complex subunit 2 homolog; signal peptidase complex subunit 2 homolog (S. cerevisiae); signal peptidase complex subunit 2-like protein; SPase 25 kDa subunit; Spc25; Spcs2; wu:fa12g08; zgc:110364 | |
| Rabbit | |
| Protein G | |
| RUO | |
| 9789 | |
| -20°C or -80°C if preferred | |
| Liquid |
| ELISA, Immunohistochemistry (Paraffin), Western Blot, Immunocytochemistry | |
| 2.82 mg/mL | |
| PBS with 50% glycerol and 0.03% ProClin 300; pH 7.4 | |
| Q15005 | |
| SPCS2 | |
| Recombinant Human Signal peptidase complex subunit 2 protein (7-86AA). | |
| 100 μg | |
| Primary | |
| Human | |
| Antibody | |
| IgG |
Safety and Handling
WARNING: Cancer - www.P65Warnings.ca.gov
Product Content Correction
Your input is important to us. Please complete this form to provide feedback related to the content on this product.
Product Title
Spot an opportunity for improvement?Share a Content Correction