Promotional price valid on web orders only. Your contract pricing may differ. Interested in signing up for a dedicated account number?
Learn More
Learn More
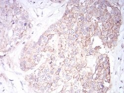
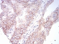
Invitrogen™ SPHK2 Monoclonal Antibody (3C8D3)

Mouse Monoclonal Antibody
Supplier: Invitrogen™ MA531905
Description
MA5-31905 has been tested in indirect ELISA.
SPHK2, along with SPHK1, catalyzes the phosphorylation of sphingosine producing the signaling molecule sphingosine-1-phosphate (S1P). S1P signals through G-protein coupled receptors and controls diverse cellular processes. Inhibitors of SPHKs are viewed as potential therapeutics for the treatment of cancer. SPHK2 is an important signaling molecule with intra- and extracellular functions and has been implicated in regulating cell differentiation, calcium mobilization from intracellular stores, and apoptosis. The cell surface receptors for S1P are the EDG family of G protein-coupled receptors (S1P Receptors). These receptors couple to multiple G proteins (e.g. S1P1 couples to Gi whereas S1P2 and S1P3 couple to Gq, G13 in addition to Gi) and regulate a extremely wide raange of cellular events including cell motility, survival, apoptosis, migration and cell-cell interaction. Important roles for S1P have also been reported in regulation of cardiogenesis, vascular maturation, oocyte survival, immune cell trafficking, cells of the neuronal system and bone cells. S1P levels are regulated by the activity of Sphk (Sphk1 and Sphk2).
Specifications
| SPHK2 | |
| Monoclonal | |
| 1 mg/mL | |
| PBS with 0.05% sodium azide | |
| Q9NRA0 | |
| Sphk2 | |
| Synthesized peptide of human SK2 (AA: 36-52). | |
| 100 μL | |
| Primary | |
| Human | |
| Antibody | |
| IgG1 |
| ELISA, Flow Cytometry, Immunohistochemistry (Paraffin), Immunocytochemistry | |
| 3C8D3 | |
| Unconjugated | |
| Sphk2 | |
| C76851; SK 2; SK2; SK-2; Sphingosine kinase 2; sphingosine kinase type 2; Sphk2; SPK 2; SPK-2; Spk2, Sk2 | |
| Mouse | |
| Protein G | |
| RUO | |
| 56848 | |
| Store at 4°C short term. For long term storage, store at -20°C, avoiding freeze/thaw cycles. | |
| Liquid |
Product Content Correction
Your input is important to us. Please complete this form to provide feedback related to the content on this product.
Product Title
Spot an opportunity for improvement?Share a Content Correction