Promotional price valid on web orders only. Your contract pricing may differ. Interested in signing up for a dedicated account number?
Learn More
Learn More
Invitrogen™ SPRYD3 Polyclonal Antibody

Rabbit Polyclonal Antibody
Supplier: Invitrogen™ PA521173
Description
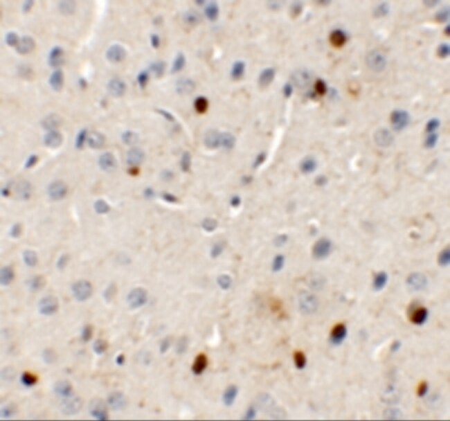
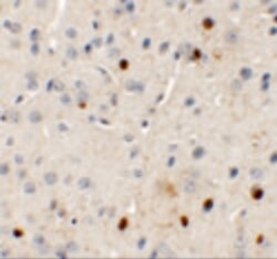
A suggested positive control is human brain tissue lysate. PA5-21173 can be used with blocking peptide PEP-1287.
The SPRY domain-containing protein 3 (SPRYD3) is a member of a family of proteins whose sole common characteristic is the presence of a SPRY domain. SPRY domains are structural domains that were first described in the fungal Dictyostelium discoideum tyrosine kinase spore lysis A. In most systems SPRY domains provide binding sites for regulatory proteins or intramolecular binding sites that maintain the structural integrity of a protein. Little is known of the function of the SPRYD3 protein.
Specifications
| SPRYD3 | |
| Polyclonal | |
| Unconjugated | |
| SPRYD3 | |
| BC008150; RGD1561500; SPRY domain containing 3; SPRY domain-containing protein 3; SPRYD3 | |
| Rabbit | |
| Antigen Affinity Chromatography | |
| RUO | |
| 223918, 315327, 84926 | |
| Maintain refrigerated at 2-8°C for up to 3 months. For long term storage store at -20°C | |
| Liquid |
| Immunohistochemistry, Western Blot | |
| 1 mg/mL | |
| PBS with 0.02% sodium azide | |
| Q8NCJ5 | |
| SPRYD3 | |
| A 16 amino acid peptide near the center of human SPRYD3. | |
| 100 μg | |
| Primary | |
| Human, Mouse, Rat | |
| Antibody | |
| IgG |
Safety and Handling
WARNING: Cancer - www.P65Warnings.ca.gov
Product Content Correction
Your input is important to us. Please complete this form to provide feedback related to the content on this product.
Product Title
Spot an opportunity for improvement?Share a Content Correction