Promotional price valid on web orders only. Your contract pricing may differ. Interested in signing up for a dedicated account number?
Learn More
Learn More
Invitrogen™ SPTLC1 Polyclonal Antibody

Rabbit Polyclonal Antibody
Supplier: Invitrogen™ PA5119409
This item is not returnable.
View return policy
Description
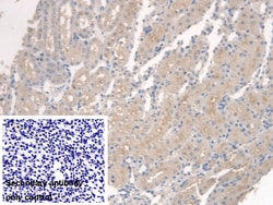
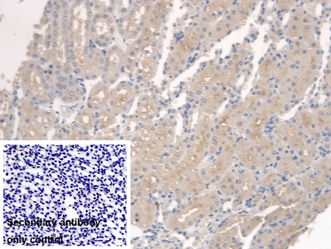
SPTLC1 Polyclonal Antibody for Western Blot, IHC (P)
Serine palmitoyltransferase (SPT) is the key enzyme in sphingolipid biosynthesis. It catalyzes the pyridoxal-5-prime-phosphate-dependent condensation of L-serine and palmitoyl-CoA to 3-oxosphinganine.
Specifications
SPTLC1 | |
Polyclonal | |
Unconjugated | |
Sptlc1 | |
AW552086; C77762; E030036H05; fc75h04; fp41c08; hLCB1; HSAN; HSAN1; HSN1; hypothetical protein LOC553981; hypothetical protein LOC614165; LBC1; LCB 1; LCB1; long chain base biosynthesis protein 1; MGC14645; rCG_44191; RGD1306617; RP11-118F2.1; serine C-palmitoyltransferase; serine palmitoyltransferase 1; serine palmitoyltransferase long chain base subunit 1; serine palmitoyltransferase subunit 1; serine palmitoyltransferase, long chain base subunit 1; serine-palmitoyl-CoA transferase 1; SPT 1; Spt1; SPTI; sptlc1; wu:fc75h04; wu:fp41c08; zgc:112247 | |
Rabbit | |
Antigen affinity chromatography, Protein A | |
RUO | |
10558, 268656 | |
Store at 4°C short term. For long term storage, store at -20°C, avoiding freeze/thaw cycles. | |
Liquid |
Immunohistochemistry (Paraffin), Western Blot | |
0.94 mg/mL | |
PBS with 50% glycerol and 0.05% ProClin 300; pH 7.4 | |
O15269, O35704 | |
Sptlc1 | |
Recombinant protein Serine Palmitoyltransferase, Long Chain Base Subunit 1. The antigen corresponds to amino acid range 143-473 of the target protein. | |
200 μL | |
Primary | |
Human, Mouse | |
Antibody | |
IgG |
Product Content Correction
Your input is important to us. Please complete this form to provide feedback related to the content on this product.
Product Title
Spot an opportunity for improvement?Share a Content Correction