Promotional price valid on web orders only. Your contract pricing may differ. Interested in signing up for a dedicated account number?
Learn More
Learn More
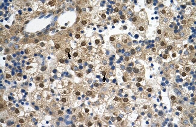
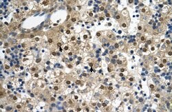
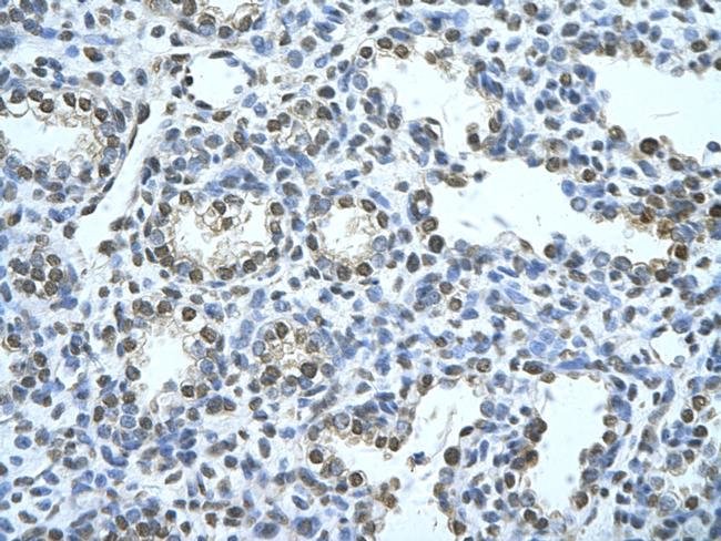
Invitrogen™ SQLE Polyclonal Antibody

Rabbit Polyclonal Antibody
Supplier: Invitrogen™ PA542102
Description
Peptide sequence: KKSFYWARKT SHSFVVNILA QALYELFSAT DDSLHQLRKA CFLYFKLGGE Sequence homology: Cow: 100%; Dog: 93%; Guinea Pig: 86%; Horse: 86%; Human: 100%; Mouse: 100%; Pig: 93%; Rabbit: 100%; Rat: 93%; Sheep: 100%; Zebrafish: 86%.
SQLE, also named as ERG1, SE and SM, belongs to the squalene monooxygenase family. It catalyzes the first oxygenation step in cholesterol synthesis, acting on squalene before cyclization into the basic steroid structure. SQLE may serve as a flux-controlling enzyme beyond 3-hydroxy-3-methylglutaryl-coenzyme A reductase (HMGR, considered as rate limiting). It is also post translationally regulated by cholesterol-dependent proteasomal degradation. The MW of SQLE is about 64 kDa.
Specifications
| SQLE | |
| Polyclonal | |
| Unconjugated | |
| SQLE | |
| AI323792; Erg1; FLJ30795; SE; Sqle; Squalene epoxidase; squalene monooxygenase; Squalene monooxygenase-like protein | |
| Rabbit | |
| Affinity Chromatography | |
| RUO | |
| 6713 | |
| -20°C, Avoid Freeze/Thaw Cycles | |
| Liquid |
| Immunohistochemistry (Paraffin), Western Blot | |
| 0.5 mg/mL | |
| PBS with 2% sucrose and 0.09% sodium azide | |
| Q14534 | |
| SQLE | |
| Synthetic peptide directed towards the C-terminal of human SQLE (aa 451-500). | |
| 100 μL | |
| Primary | |
| Human | |
| Antibody | |
| IgG |
Safety and Handling
WARNING: Cancer - www.P65Warnings.ca.gov
Product Content Correction
Your input is important to us. Please complete this form to provide feedback related to the content on this product.
Product Title
Spot an opportunity for improvement?Share a Content Correction