Learn More
Invitrogen™ SQSTM1 Polyclonal Antibody

Rabbit Polyclonal Antibody
Supplier: Invitrogen™ PA520839
Description
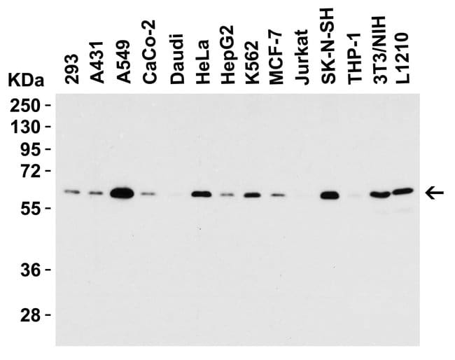
Suggested positive controls are mouse skeletal muscle, mouse pancreas, or rat liver tissue lysates. PA5-20839 can be used with blocking peptide PEP-0953. This antibody has been tested by Western Blot in human and mouse samples; immunofluorescence and immunohistochemistry in human, mouse and rat samples. All other applications and species not yet tested.
This gene encodes a multifunctional protein that binds ubiquitin and regulates activation of the nuclear factor kappa-B signaling pathway. The protein functions as a scaffolding/adaptor protein in concert with TNF receptor-associated factor 6 to mediate activation of NF-kB in response to upstream signals. Alternatively spliced transcript variants encoding either the same or different isoforms have been identified for this gene. Mutations in this gene result in sporadic and familial Paget disease of bone.
Specifications
| SQSTM1 | |
| Polyclonal | |
| Unconjugated | |
| Sqstm1 | |
| A170; EBI3-associated protein of 60 kDa; EBI3-associated protein p60; EBIAP; FTDALS3; hypothetical protein 1; ORCA; OSF-6; Osi; OSIL; oxidative stress induced; oxidative stress induced like; p60; p62; p62B; PDB3; phosphotyrosine independent ligand for the Lck SH2 domain p62; phosphotyrosine-independent ligand for the Lck SH2 domain of 62 kDa; PKC-zeta-interacting protein; protein kinase C-zeta-interacting protein; sb:cb621; Sequestosome 1; sequestosome-1; Sqstm1; STAP; STONE14; ubiquitin-binding protein p62; Unknown (protein for MGC:127197); zgc:85784; ZIP; ZIP3 | |
| Rabbit | |
| Antigen affinity chromatography | |
| RUO | |
| 113894, 18412, 8878 | |
| 4°C | |
| Liquid |
| Immunohistochemistry (Paraffin), Immunohistochemistry (PFA fixed), Western Blot, Immunocytochemistry | |
| 1 mg/mL | |
| PBS with 0.02% sodium azide | |
| O08623, Q13501, Q64337 | |
| Sqstm1 | |
| A 13 amino acid synthetic peptide from near the carboxy terminus of human SQSTM1. The immunogen is located within the last 50 amino acids of SQSTM1. | |
| 100 μg | |
| Primary | |
| Human, Mouse, Rat | |
| Antibody | |
| IgG |
Safety and Handling
Your input is important to us. Please complete this form to provide feedback related to the content on this product.