Promotional price valid on web orders only. Your contract pricing may differ. Interested in signing up for a dedicated account number?
Learn More
Learn More
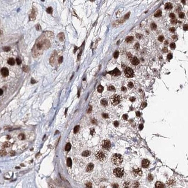
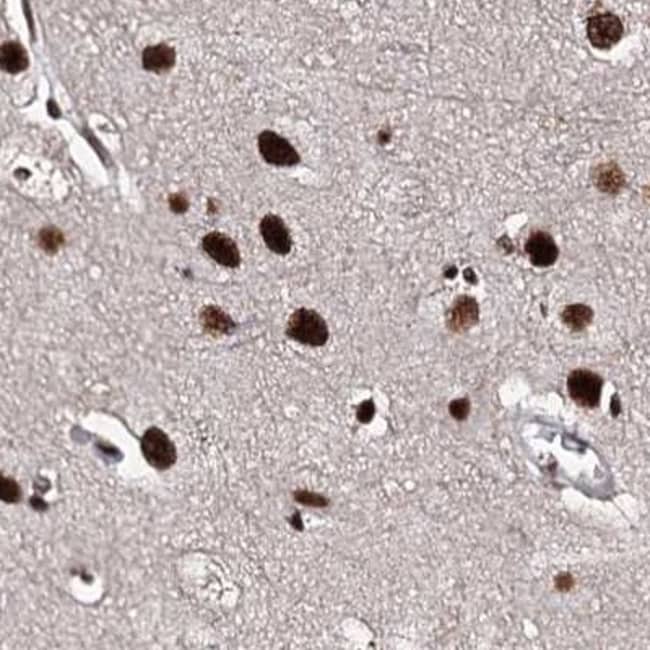
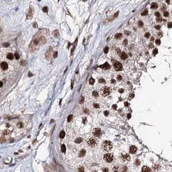
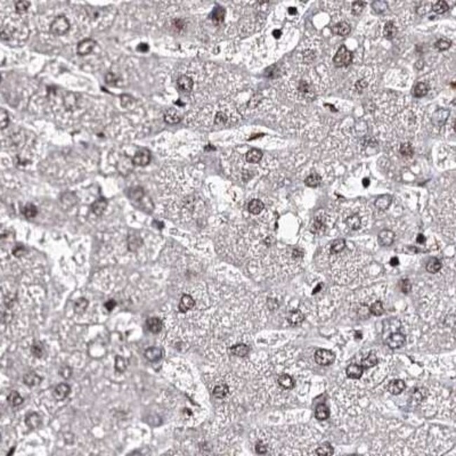
Invitrogen™ SR140 Polyclonal Antibody

Rabbit Polyclonal Antibody
Supplier: Invitrogen™ PA5111082
Description
Immunogen sequence: MVFCLNNAEA AEEIVDCITE SLSILKTPLP KKIARLYLVS DVLYNSSAKV ANASYYRKFF ETKLCQIFSD LNATYRTIQG HLQSENFKQR V.
U2SURP (U2 SnRNP Associated SURP Domain Containing) is a Protein Coding gene. Diseases associated with U2SURP include Retinitis Pigmentosa 67. Among its related pathways are Gene Expression and mRNA Splicing - Major Pathway. Gene Ontology (GO) annotations related to this gene include nucleic acid binding and RNA binding. [GeneCards].
Specifications
| SR140 | |
| Polyclonal | |
| PBS with 40% glycerol and 0.02% sodium azide; pH 7.2 | |
| O15042 | |
| U2SURP | |
| Recombinant Protein corresonding to Human SR140. Recombinant protein control fragment (Product #RP-105935). | |
| 100 μL | |
| Primary | |
| Human | |
| Antibody | |
| IgG |
| Immunohistochemistry (Paraffin) | |
| Unconjugated | |
| U2SURP | |
| 140 kDa Ser/Arg-rich domain protein; 2610101N10Rik; AU023006; fSAPa; functional spliceosome-associated protein a; KIAA0332; mp:zf637-1-000918; RGD1307882; Ser/Arg-rich domain protein, 140 kDa; si:dkey-181m9.9; SR140; U2 associated SR140 protein; U2 snRNP associated SURP domain containing; U2 snRNP-associated SURP domain containing; U2 snRNP-associated SURP motif-containing protein; U2-associated protein SR140; u2-associated protein SR140-like protein; U2-associated SR140 protein; U2SURP; wu:fa03e02; wu:fb38b01; wu:fc75d03 | |
| Rabbit | |
| Antigen affinity chromatography | |
| RUO | |
| 23350 | |
| Store at 4°C short term. For long term storage, store at -20°C, avoiding freeze/thaw cycles. | |
| Liquid |
Safety and Handling
WARNING: Cancer - www.P65Warnings.ca.gov
Product Content Correction
Your input is important to us. Please complete this form to provide feedback related to the content on this product.
Product Title
Spot an opportunity for improvement?Share a Content Correction