Promotional price valid on web orders only. Your contract pricing may differ. Interested in signing up for a dedicated account number?
Learn More
Learn More
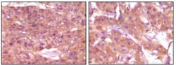
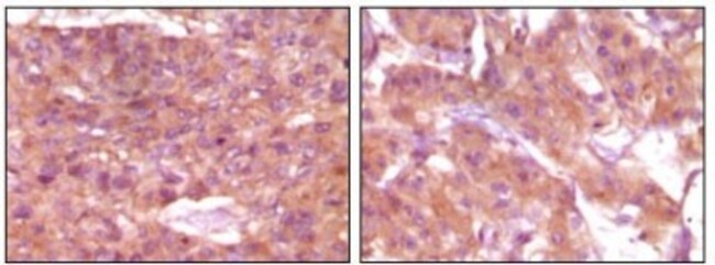
SRA1 Antibody (1D4H8), Novus Biologicals™

Mouse Monoclonal Antibody
Supplier: Novus Biologicals NBP151531
Description
SRA1 Monoclonal specifically detects SRA1 in Human samples. It is validated for Western Blot, ELISA, Immunohistochemistry, Immunohistochemistry-Paraffin.Specifications
SRA1 | |
Monoclonal | |
Unconjugated | |
MGC87674, pp7684, SRA, SRAP, steriod receptor RNA activator 1, steriod receptor RNA activator protein, steroid receptor coactivator, steroid receptor RNA activator 1, steroid receptor RNA activator 1 (complexes with NCOA1), Steroid receptor RNA activator protein, STRAA1 | |
Mouse | |
Unpurified | |
RUO | |
10011 | |
Store at 4C short term. Aliquot and store at -20C long term. Avoid freeze-thaw cycles. | |
IgG1 |
Western Blot, ELISA, Immunohistochemistry, Immunohistochemistry (Paraffin) | |
1D4H8 | |
Western Blot 1:500-1:2000, ELISA 1:10000, Immunohistochemistry 1:10-1:500, Immunohistochemistry-Paraffin 1:200-1:1000 | |
SRA1 | |
Purified recombinant fragment of SRA expressed in E. Coli. | |
0.1 mL | |
Primary | |
Human | |
Ascites |
Product Content Correction
Your input is important to us. Please complete this form to provide feedback related to the content on this product.
Product Title
For Research Use Only
Spot an opportunity for improvement?Share a Content Correction