Learn More
Invitrogen™ SRC2 Polyclonal Antibody
Rabbit Polyclonal Antibody
Supplier: Invitrogen™ PA5120079
Description
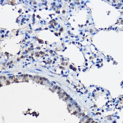
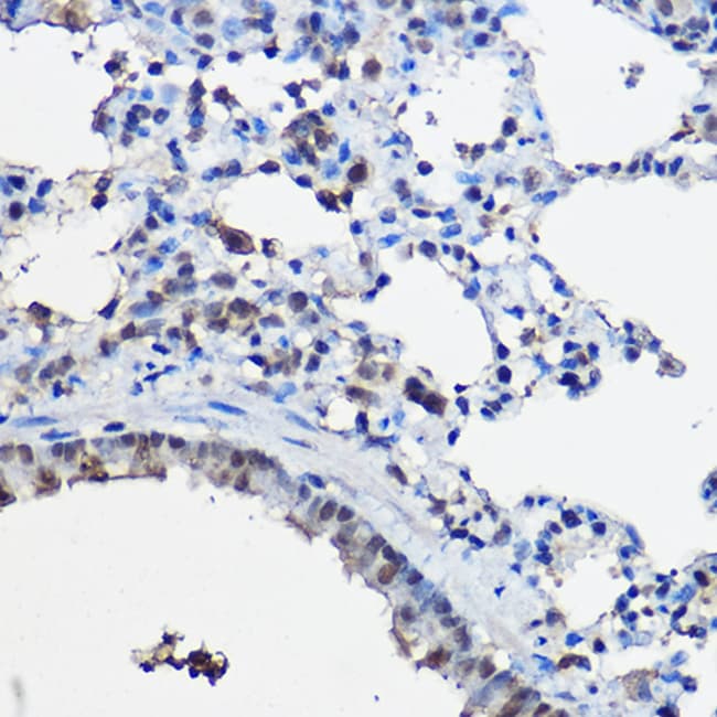
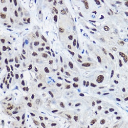
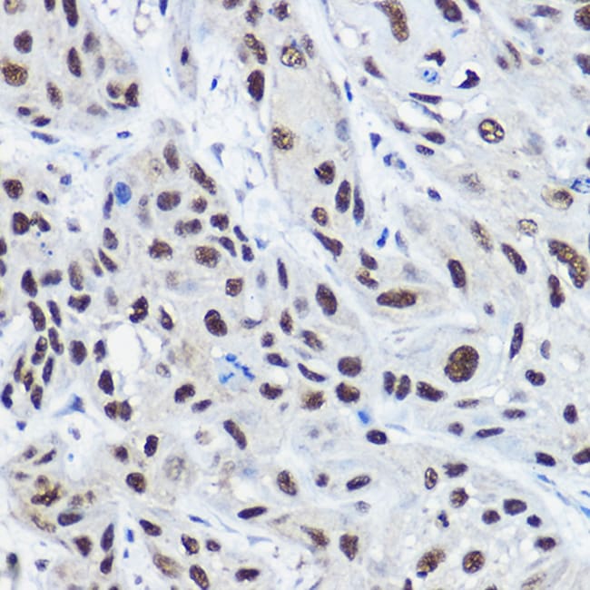
Positive test controls include: 293T, BT-474. The target is usually found in the following locations: Nucleus. Immunogen sequence: SSLASPDLKM GNLQNSPVNM NPPPLSKMGS LDSKDCFGLY GEPSEGTTGQ AESSCHPGEQ KETNDPNLPP AVSSERADGQ SRLHDSKGQT KLLQLLTTKS DQMEPSPLAS SLSDTNKDST GSLPGSGSTH GTSLKEKHKI LHRLLQDSSS PVDLAKLTAE ATGKDLSQES SSTAPGSEVT IKQEPVSPKK KENALLRYLL DKDDTKDIGL PEITPKLERL DSKTDPASNT KLIAMKTEKE EMSFEPGDQP GSELDNLEEI LDDLQNSQLP Q.
SRC2 (steroid receptor coactivator 2), also known as nuclear receptor coactivator2, NCOA2 or TIF2, aids in the function of nuclear hormone receptors. Nuclear hormone receptors are conditional transcription factors that play important roles in various aspects of cell growth, development, and homeostasis by controlling expression of specific genes. Members of the nuclear hormone receptor superfamily, which includes the 5 steroid receptors and class II nuclear receptors, are structurally characterized by 3 distinct domains: an N-terminal transcriptional activation domain, a central DNA-binding domain, and a C-terminal hormone-binding domain. Before the binding of hormone, steroid receptors, which are sometimes called class I of the nuclear hormone receptor family, remain inactive in a complex with heat-shock protein-90 and other stress family proteins. Binding of hormone induces critical conformational changes in steroid receptors that cause them to dissociate from the inhibitory complex, bind as homodimers to specific DNA enhancer elements associated with target genes, and modulate that gene's transcription. After binding to enhancer elements, transcription factors require transcriptional coactivator proteins to mediate their stimulation of transcription initiation.
Specifications
SRC2 | |
Polyclonal | |
Unconjugated | |
NCOA2 | |
bHLHe75; c-fgr; Class E basic helix-loop-helix protein 75; c-src2; D1Ertd433e; FLJ43153; Glucocorticoid receptor-interacting protein 1; glucocorticoid receptor-interacting protein-1; Grip1; GRIP-1; hTIF2; I79_019839; KAT13C; MGC75096; NCOA2; NCoA-2; Nuclear receptor coactivator 2; p160 steroid receptor coactivator 2; p55c-fgr; p58c-fgr; SRC2; SRC-2; Steroid receptor coactivator 2; TIF 2; Tif2; transcriptional intermediary factor 2 | |
Rabbit | |
Affinity Chromatography | |
RUO | |
10499, 83724 | |
-20°C, Avoid Freeze/Thaw Cycles | |
Liquid |
ELISA, Immunohistochemistry (Paraffin), Western Blot | |
2.23 mg/mL | |
PBS with 50% glycerol and 0.02% sodium azide; pH 7.3 | |
Q15596, Q9WUI9 | |
NCOA2 | |
Recombinant fusion protein containing a sequence corresponding to amino acids 550-820 of human NCOA2 (NP_006531.1). | |
100 μL | |
Primary | |
Human, Rat | |
Antibody | |
IgG |
Safety and Handling
Your input is important to us. Please complete this form to provide feedback related to the content on this product.