Promotional price valid on web orders only. Your contract pricing may differ. Interested in signing up for a dedicated account number?
Learn More
Learn More
Invitrogen™ SSRP1 Polyclonal Antibody

Rabbit Polyclonal Antibody
Supplier: Invitrogen™ PA5109334
Description
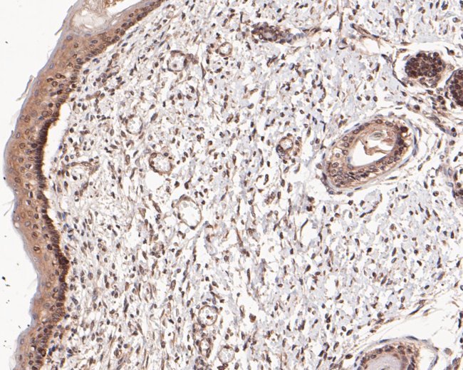
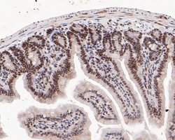
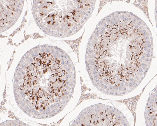
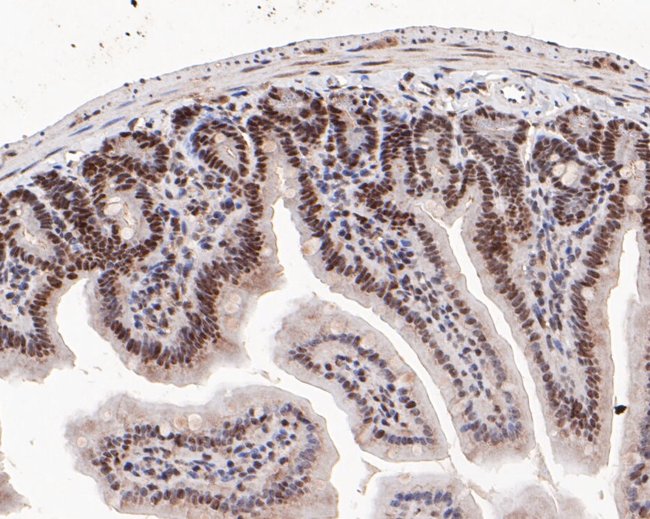
Positive Control: Daudi cell lysates, rat testis tissue, human skin tissue, human breast cancer tissue, mouse colon tissue, SH-SY5Y.
SPT16 and SSRP1 are found in all eurkaryotic cells and exists as part of an essential heterodimer complex. Together, SPT 16 and SSRP1 are a highly abundant nuclear complex that in mammals has been called FACT, or Facilitates Chromatin Transcription. FACT enhances the processivity of RNA polymerase II through nucleosomes. Evidence also points to a role for FACT in replication, possibly by enhancing DNA polymerase through nucleosomes as well.
Specifications
| SSRP1 | |
| Polyclonal | |
| Unconjugated | |
| SSRP1 | |
| C81323; chromatin-specific transcription elongation factor 80 kDa subunit; Ciidbp; cisplatin-DNA SSRP; facilitates chromatin remodeling 80 kDa subunit; facilitates chromatin transcription complex 80 kDa subunit; Facilitates chromatin transcription complex subunit SSRP1; FACT; FACT 80 kDa subunit; FACT complex subunit SSRP1; FACT80; FACTp80; high mobility group box; Hmg1-rs1; Hmgi-rs3; Hmgox; hSSRP1; recombination signal sequence recognition protein 1; Ssrp1; structure specific recognition protein 1; structure-specific recognition protein 1; T160 | |
| Rabbit | |
| Affinity chromatography | |
| RUO | |
| 6749 | |
| -20°C, Avoid Freeze/Thaw Cycles, store in dark | |
| Liquid |
| Flow Cytometry, Immunohistochemistry (Paraffin), Western Blot | |
| 1 mg/mL | |
| PBS with 0.2% BSA, 50% glycerol and 0.05% sodium azide; pH 7.4 | |
| Q08945 | |
| SSRP1 | |
| Recombinant protein within Human SSRP1 aa 192-375. | |
| 100 μL | |
| Primary | |
| Human | |
| Antibody | |
| IgG |
Safety and Handling
WARNING: Cancer - www.P65Warnings.ca.gov
Product Content Correction
Your input is important to us. Please complete this form to provide feedback related to the content on this product.
Product Title
Spot an opportunity for improvement?Share a Content Correction