Learn More
Invitrogen™ SSTR4 Recombinant Rabbit Monoclonal Antibody (7H49L61)
Rabbit Recombinant Monoclonal Antibody
Supplier: Invitrogen™ 703478

Description
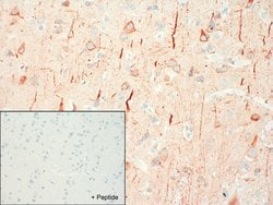
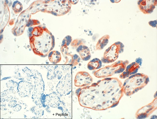
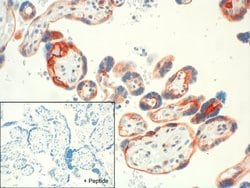
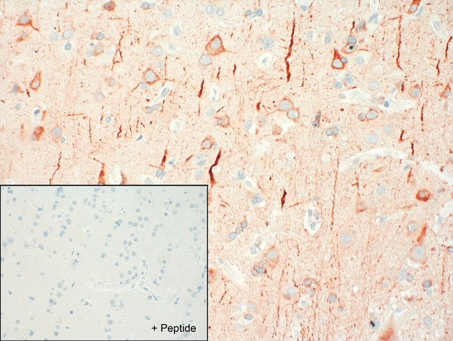
This antibody is predicted to react with Mouse, Rat.
SSTR4 has been reported to be expressed in brain, gastrointestinal tract, pancreas, and prostate tissues. No ESTs have been identified.
Specifications
SSTR4 | |
Recombinant Monoclonal | |
0.5 mg/mL | |
PBS with 0.09% sodium azide; pH 7.4 | |
P31391 | |
SSTR4 | |
Peptides corresponding to human SSTR4 [1) aa367-aa388 2) aa2-aa20]. | |
100 μg | |
Primary | |
Human | |
Antibody | |
IgG |
Immunohistochemistry, Immunocytochemistry | |
7H49L61 | |
Unconjugated | |
SSTR4 | |
G-protein coupled receptor; Smstr4; somatostatin receptor; somatostatin receptor 4; Somatostatin receptor subtype 4 Rattus norvegicus Sprague-Dawley major hippocampal somatostatin receptor (SSTR4) mRNA; somatostatin receptor type 4; SS4R; SS-4-R; SS4-R; sst4; Sstr4 | |
Rabbit | |
Protein A | |
RUO | |
6754 | |
Store at 4°C short term. For long term storage, store at -20°C, avoiding freeze/thaw cycles. | |
Liquid |
Safety and Handling
The Fisher Scientific Encompass Program offers items which are not part of our distribution portfolio. These products typically do not have pictures or detailed descriptions. However, we are committed to improving your shopping experience. Please use the form below to provide feedback related to the content on this product.