Promotional price valid on web orders only. Your contract pricing may differ. Interested in signing up for a dedicated account number?
Learn More
Learn More
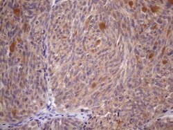
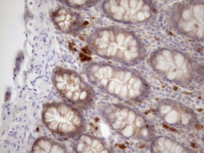
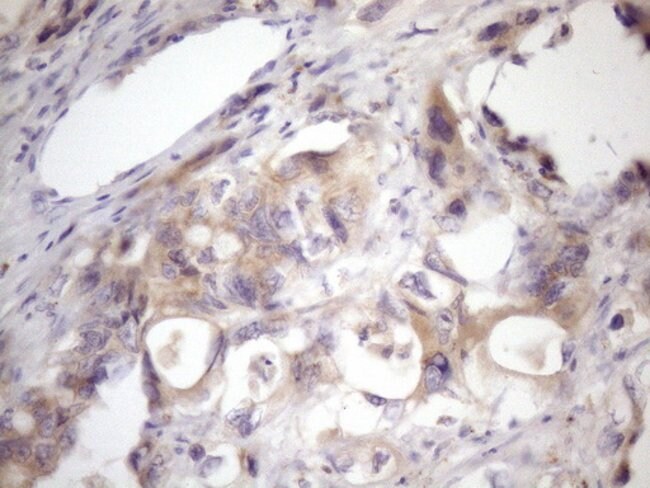
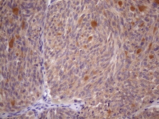
SSX2IP Monoclonal Antibody (OTI5C3), TrueMAB™, OriGene

Mouse Monoclonal Antibody
Supplier: OriGene TA807455

Description
This gene encodes a protein that binds the cancer-testis antigen Synovial Sarcoma X breakpoint 2 protein. The encoded protein may regulate the activity of Synovial Sarcoma X breakpoint 2 protein in maligt cells. Alternate splicing results in multiple transcript variants. A pseudogene of this gene is found on chromosome 3.Specifications
SSX2IP | |
Monoclonal | |
1 mg/mL | |
PBS with 1% BSA, 50% glycerol and 0.02% sodium azide | |
Q9Y2D8 | |
SSX2IP | |
Human recombit protein fragment corresponding to amino acids 1-272 of human SSX2IP produced in E.coli. | |
100 μL | |
Primary | |
Human | |
Antibody | |
IgG1 |
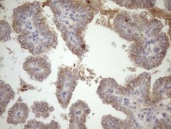
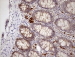
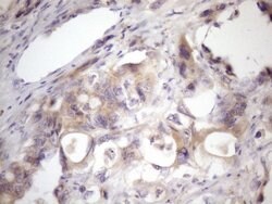
Immunohistochemistry (Paraffin), Western Blot | |
OTI5C3 | |
Unconjugated | |
SSX2IP | |
ADIP, hMsd1 | |
Mouse | |
Affinity Chromatography | |
RUO | |
117178 | |
-20° C, Avoid Freeze/Thaw Cycles | |
Liquid |
Product Content Correction
The Fisher Scientific Encompass Program offers items which are not part of our distribution portfolio. These products typically do not have pictures or detailed descriptions. However, we are committed to improving your shopping experience. Please use the form below to provide feedback related to the content on this product.
Product Title
Spot an opportunity for improvement?Share a Content Correction