Promotional price valid on web orders only. Your contract pricing may differ. Interested in signing up for a dedicated account number?
Learn More
Learn More
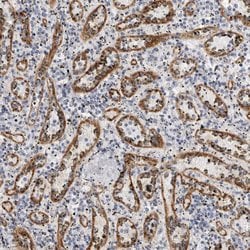
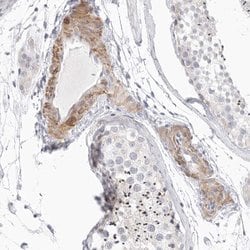
Invitrogen™ Stabilin 2 Polyclonal Antibody

Rabbit Polyclonal Antibody
Supplier: Invitrogen™ PA555447
Description
Immunogen sequence: VVLEEKLLKN DLHNGMHRET MLGFSYFLSF FLHNDQLYVN EAPINYTNVA TDKGVIHGLG KVLEIQKNRC DNNDTTIIRG RCRTCSSELT CPFGTKSLGN EKRRCIYTSY FMGRRTLFIG CQPKCVRTVI TR Highest antigen sequence identity to the following orthologs: Mouse - 77%, Rat - 79%.
This gene encodes a large, transmembrane receptor protein which may function in angiogenesis, lymphocyte homing, cell adhesion, or receptor scavenging. The protein contains 7 fasciclin, 15 epidermal growth factor (EGF)-like, and 2 laminin-type EGF-like domains as well as a C-type lectin-like hyaluronan-binding Link module. The protein is primarily expressed on sinusoidal endothelial cells of liver, spleen, and lymph node. The receptor has been shown to bind and endocytose ligands such as hyaluronan, low density lipoprotein, Gram-positive and Gram-negative bacteria, and advanced glycosylation end products. Supporting its possible role as a scavenger receptor, the protein has been shown to cycle between the plasma membrane and lysosomes.
Specifications
| Stabilin 2 | |
| Polyclonal | |
| Unconjugated | |
| STAB2 | |
| 190 kDa form stabilin-2; 190 kDa hyaluronan receptor for endocytosis; CD44-like precursor FELL; DKFZP434E0321; FAS1 EGF-like and X-link domain containing adhesion molecule-2; FAS1 EGF-like and X-link domain-containing adhesion molecule 2; fasciclin egf-like, laminin-type egf-like, and link domain-containing scavenger receptor-2; fasciclin, EGF-like, laminin-type EGF-like and link domain-containing scavenger receptor 2; FEEL2; FEEL-2; FELE-2; FELL; FELL2; FELL-2; FEX2; Hare; HAREFELL2; hepatic hyaluronan clearance receptor; hyaluronan receptor for endocytosis; hyaluronic acid receptor for endocytosis; MFEEL-2; SCARH1; scavenger receptor FEEL-2; Short form stabilin-2; stab2; STAB-2; stab2 {ECO:0000250; stabilin 2; Stabilin2; stabilin-2; UniProtKB:Q8WWQ8} | |
| Rabbit | |
| Antigen affinity chromatography | |
| RUO | |
| 55576 | |
| Store at 4°C short term. For long term storage, store at -20°C, avoiding freeze/thaw cycles. | |
| Liquid |
| Immunohistochemistry (Paraffin), Immunocytochemistry | |
| 0.20 mg/mL | |
| PBS with 40% glycerol and 0.02% sodium azide; pH 7.2 | |
| Q8WWQ8 | |
| STAB2 | |
| Recombinant protein corresponding to Human Stabilin 2. Recombinant protein control fragment (Product #RP-90240). | |
| 100 μL | |
| Primary | |
| Human | |
| Antibody | |
| IgG |
Safety and Handling
WARNING: Cancer - www.P65Warnings.ca.gov
Product Content Correction
Your input is important to us. Please complete this form to provide feedback related to the content on this product.
Product Title
Spot an opportunity for improvement?Share a Content Correction