Learn More
Invitrogen™ STAM Polyclonal Antibody

Rabbit Polyclonal Antibody
Supplier: Invitrogen™ PA521708
Description
Recommended positive controls: 293T, A431, H1299, HeLaS3, HepG2, Molt-4, Raji. Predicted reactivity: Mouse (96%), Rat (96%), Zebrafish (86%), Xenopus laevis (88%), Bovine (97%). Store product as a concentrated solution. Centrifuge briefly prior to opening the vial.
STAM (Signal transducing adaptor molecule) is an adaptor molecule involved in downstream signaling pathways mediated by growth factors and cytokines. STAM also plays an important role in endocytosis, the JAK-STAT signaling pathway, and membrane trafficking. In humans, the gene encoding STAM is located on chromosome 10.
Specifications
STAM | |
Polyclonal | |
Unconjugated | |
STAM | |
DKFZp686J2352; HSE1 homolog; RGD1564499; signal transducing adapter molecule 1; signal transducing adaptor molecule; signal transducing adaptor molecule (SH3 domain and ITAM motif) 1; Stam; STAM1; STAM-1; STAT91 | |
Rabbit | |
Antigen affinity chromatography | |
RUO | |
8027 | |
Store at 4°C short term. For long term storage, store at -20°C, avoiding freeze/thaw cycles. | |
Liquid |
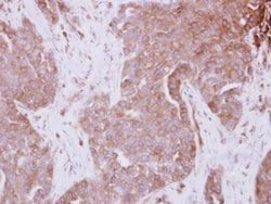
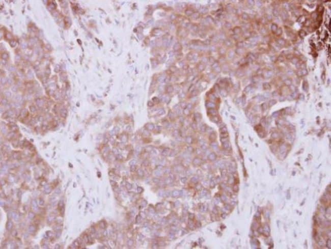
Immunohistochemistry (Paraffin), Western Blot | |
1 mg/mL | |
0.1M tris glycine with 10% glycerol and 0.01% thimerosal; pH 7 | |
Q92783 | |
STAM | |
Recombinant protein encompassing a sequence within the center region of human STAM. The exact sequence is proprietary. | |
100 μL | |
Primary | |
Human | |
Antibody | |
IgG |
Your input is important to us. Please complete this form to provide feedback related to the content on this product.