Promotional price valid on web orders only. Your contract pricing may differ. Interested in signing up for a dedicated account number?
Learn More
Learn More
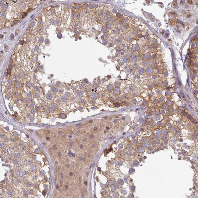
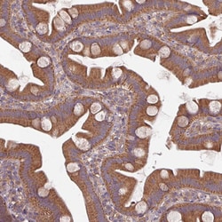
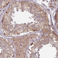
Invitrogen™ STAM Polyclonal Antibody

Rabbit Polyclonal Antibody
Supplier: Invitrogen™ PA583687
Description
Immunogen sequence: LMVEWTDEFK NDPQLSLISA MIKNLKEQGV TFPAIGSQAA EQAKASPALV AKDPGTVANK Highest antigen sequence indentity to the following orthologs: Rat - 98%, Mouse - 98%.
STAM (Signal transducing adaptor molecule) is an adaptor molecule involved in downstream signaling pathways mediated by growth factors and cytokines. STAM also plays an important role in endocytosis, the JAK-STAT signaling pathway, and membrane trafficking. In humans, the gene encoding STAM is located on chromosome 10.
Specifications
| STAM | |
| Polyclonal | |
| Unconjugated | |
| STAM | |
| DKFZp686J2352; HSE1 homolog; RGD1564499; signal transducing adapter molecule 1; signal transducing adaptor molecule; signal transducing adaptor molecule (SH3 domain and ITAM motif) 1; Stam; STAM1; STAM-1; STAT91 | |
| Rabbit | |
| Antigen affinity chromatography | |
| RUO | |
| 8027 | |
| Store at 4°C short term. For long term storage, store at -20°C, avoiding freeze/thaw cycles. | |
| Liquid |
| Immunohistochemistry (Paraffin), Western Blot, Immunocytochemistry, Western Blot | |
| 0.1 mg/mL | |
| PBS with 40% glycerol and 0.02% sodium azide; pH 7.2 | |
| Q92783 | |
| STAM | |
| Recombinant protein corresponding to Human STAM. Recombinant protein control fragment (Product #RP-102948). | |
| 100 μL | |
| Primary | |
| Human | |
| Antibody | |
| IgG |
Product Content Correction
Your input is important to us. Please complete this form to provide feedback related to the content on this product.
Product Title
Spot an opportunity for improvement?Share a Content Correction