Promotional price valid on web orders only. Your contract pricing may differ. Interested in signing up for a dedicated account number?
Learn More
Learn More
Invitrogen™ STAR Polyclonal Antibody

Rabbit Polyclonal Antibody
Supplier: Invitrogen™ PA5106859
Description
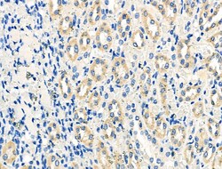
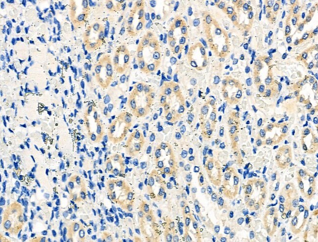
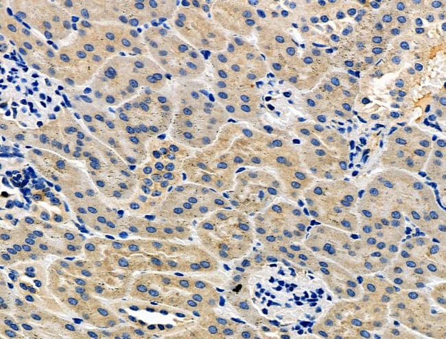
Antibody detects endogenous levels of total STAR.
Steroidogenic acute regulatory protein (StAR) plays a significant role in cholesterol transport from the cytoplasmic outer membrane to the inner mitochondrial membrane. The 37 kDa precursor is cleaved to generate an active 28 kDa protein capable of facilitating cholesterol metabolism into pregnenolone. StAR is prevalently expressed in mitochondria of steroid-producing adrenal and gonadal tissue. Abnormalities in StAR gene expression are impacted in autosomal Lipoid Congenial Adrenal Hyperplasia (LCAH) resulting in defects in pregnenolone and cortisol synthesis. The mechanism of cholesterol binding to StAR has yet to be elucidated.
Specifications
| STAR | |
| Polyclonal | |
| Unconjugated | |
| STAR | |
| AV363654; cholesterol trafficker; D8Ertd419e; lipid transporter; luteinizing hormone-induced protein; mitochondrial steroid acute regulatory protein; STAR; StAR related lipid transfer (START) domain containing 1; stARD1; StAR-related lipid transfer (START) domain containing 1; START domain containing 1; START domain-containing protein 1; steroid acute regulatory protein; steroidogenic acute regulator; steroidogenic acute regulatory protein; steroidogenic acute regulatory protein, mitochondrial; testis secretory sperm-binding protein Li 241mP | |
| Rabbit | |
| Affinity chromatography | |
| RUO | |
| 20845, 25557, 6770 | |
| -20°C | |
| Liquid |
| Immunohistochemistry (Paraffin), Western Blot | |
| 1 mg/mL | |
| PBS with 50% glycerol and 0.02% sodium azide; pH 7.4 | |
| P49675, P51557, P97826 | |
| STAR | |
| A synthesized peptide derived from human STAR(Accession P49675), corresponding to amino acid residues Q158-N208. | |
| 100 μL | |
| Primary | |
| Human, Mouse, Rat, Avian | |
| Antibody | |
| IgG |
Safety and Handling
WARNING: Cancer - www.P65Warnings.ca.gov
Product Content Correction
Your input is important to us. Please complete this form to provide feedback related to the content on this product.
Product Title
Spot an opportunity for improvement?Share a Content Correction