Promotional price valid on web orders only. Your contract pricing may differ. Interested in signing up for a dedicated account number?
Learn More
Learn More
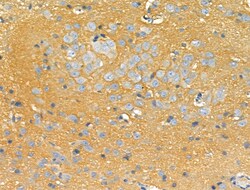
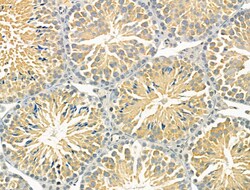
Invitrogen™ STARD10 Polyclonal Antibody

Rabbit Polyclonal Antibody
Supplier: Invitrogen™ PA5106793
Description
Antibody detects endogenous levels of total STARD10.
STARD10 gene ontology annotations related to this gene include bile acid secretion; positive regulation of peroxisome proliferator activated receptor signaling pathway.
Specifications
| STARD10 | |
| Polyclonal | |
| Unconjugated | |
| STARD10 | |
| Antigen NY-CO-28; AV048538; CGI52; CGI-52; NY-C0-28; NY-CO-28; PCTP2; PC-TP2; Pctpl; PCTP-L; PCTP-like protein; Sdccag28; Sdccagg28; serologically defined colon cancer antigen 10; serologically defined colon cancer antigen 28; Serologically defined colon cancer antigen 28 homolog; StAR related lipid transfer domain containing 10; STARD10; StAR-related lipid transfer (START) domain containing 10; StAR-related lipid transfer domain containing 10; stAR-related lipid transfer protein 10; START domain containing 10; START domain-containing protein 10; TISP-81 | |
| Rabbit | |
| Affinity chromatography | |
| RUO | |
| 10809, 293150, 56018 | |
| -20°C | |
| Liquid |
| Immunohistochemistry (Paraffin), Western Blot, Immunocytochemistry | |
| 1 mg/mL | |
| PBS with 50% glycerol and 0.02% sodium azide; pH 7.4 | |
| Q9JMD3, Q9Y365 | |
| STARD10 | |
| A synthesized peptide derived from human STARD10(Accession Q9Y365), corresponding to amino acid residues T64-V114. | |
| 100 μL | |
| Primary | |
| Human, Mouse, Rat | |
| Antibody | |
| IgG |
Safety and Handling
WARNING: Cancer - www.P65Warnings.ca.gov
Product Content Correction
Your input is important to us. Please complete this form to provide feedback related to the content on this product.
Product Title
Spot an opportunity for improvement?Share a Content Correction