Promotional price valid on web orders only. Your contract pricing may differ. Interested in signing up for a dedicated account number?
Learn More
Learn More
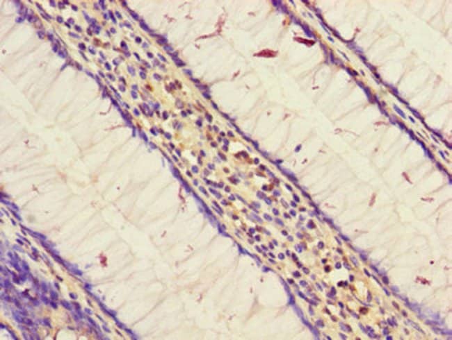
Invitrogen™ STARD9 Polyclonal Antibody

Rabbit Polyclonal Antibody
Supplier: Invitrogen™ PA5113470
Description
STARD9 Polyclonal Antibody for Western Blot, ICC/IF, IHC (P), ELISA
Specifications
| STARD9 | |
| Polyclonal | |
| Unconjugated | |
| STARD9 | |
| KIAA1300; KIF16A; StAR related lipid transfer domain containing 9; StARD9; StAR-related lipid transfer (START) domain containing 9; StAR-related lipid transfer domain containing 9; stAR-related lipid transfer protein 9; START domain containing 9; START domain-containing protein 9 | |
| Rabbit | |
| Protein G | |
| RUO | |
| 57519 | |
| -20°C or -80°C if preferred | |
| Liquid |
| ELISA, Immunohistochemistry (Paraffin), Western Blot, Immunocytochemistry | |
| 1 mg/mL | |
| PBS with 50% glycerol and 0.03% ProClin 300; pH 7.4 | |
| Q9P2P6 | |
| STARD9 | |
| Recombinant Human StAR-related lipid transfer protein 9 protein (1960-2180AA). | |
| 100 μg | |
| Primary | |
| Human | |
| Antibody | |
| IgG |
Safety and Handling
WARNING: Cancer - www.P65Warnings.ca.gov
Product Content Correction
Your input is important to us. Please complete this form to provide feedback related to the content on this product.
Product Title
Spot an opportunity for improvement?Share a Content Correction