Promotional price valid on web orders only. Your contract pricing may differ. Interested in signing up for a dedicated account number?
Learn More
Learn More
Invitrogen™ STAT1 Polyclonal Antibody

Rabbit Polyclonal Antibody
Supplier: Invitrogen™ PA519858
Description
In Western blot applications, this antibody detects a band at ~91kDa. A suggested positive control is Hela cell lysate. PA5-19858 can be used with blocking peptide PEP-0256.
STAT1 (signal transducers and activators of transcription 1) is a member of the STAT family of transcription factors. STAT1 can be activated by interferon-alpha, interferon-gamma, EGF, PDGF and IL6. STAT1 is known to regulate several genes which are involved in cell growth, apoptosis, immune responses, and lipid metabolism. Further, STAT1 plays an important role in mediating cell viability in response to different cell stimuli and pathogen exposure. The STAT1 gene is located on chromosome 2. STAT1 is activated to regulate gene expression in response to extracellular signaling polypeptides including cytokines, interferons, and growth factors. After phosphorylation by JAK tyrosine kinases, STAT1 enters the nucleus to regulate transcription of many different genes. Among the seven STATs types, STAT1, STAT3, STAT5a, and STAT5b have a wide activation profile. STAT1 is activated by many different ligands including IFN family (IFN-Alpha, IFN-Beta, IFN-gamma and IL-10), gp130 family (IL-6, IL-11, LIF, CNTF, and G-CSF), and receptor tyrosine kinases (EGF, PDGF, and CSF-1). Two alternatively spliced transcript variants encoding distinct isoforms of STAT1 have been described.
Specifications
| STAT1 | |
| Polyclonal | |
| Unconjugated | |
| STAT1 | |
| 2010005J02Rik; AA408197; CANDF7; DD6G4-4; DKFZp686B04100; IMD31A; IMD31B; IMD31C; ISGF-3; LOW QUALITY PROTEIN: signal transducer and activator of transcription 1-alpha/beta; OTTHUMP00000165046; OTTHUMP00000205845; signal transducer and activator of transcription 1; signal transducer and activator of transcription 1, 91kD; signal transducer and activator of transcription 1, 91kDa; signal transducer and activator of transcription 1-alpha/beta; signal transducer and activator of transcription-1; STAT; STAT 1; STAT1; STAT-1; stat1 alpha; STAT91; transcription factor ISGF-3; transcription factor ISGF-3 components p91/p84 | |
| Rabbit | |
| Ion-exchange Chromatography | |
| RUO | |
| 20846, 25124, 6772 | |
| Maintain refrigerated at 2-8°C for up to 3 months. For long term storage store at -20°C | |
| Liquid |
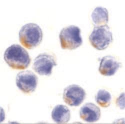
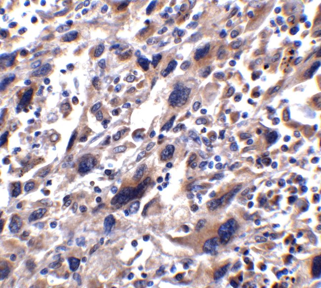
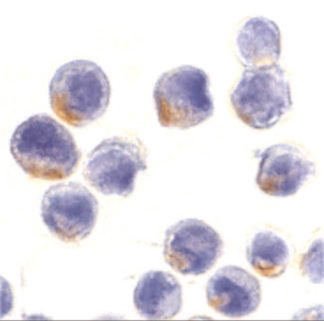
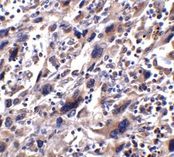
| Immunohistochemistry (Paraffin), Immunohistochemistry (PFA fixed), Immunoprecipitation, Western Blot, Immunocytochemistry | |
| 1 mg/mL | |
| PBS with 0.02% sodium azide | |
| P42224, P42225 | |
| STAT1 | |
| A peptide corresponding to amino acids near the carboxy terminus of human STAT1 alpha. | |
| 100 μg | |
| Primary | |
| Human, Mouse, Rat | |
| Antibody | |
| IgG |
Product Content Correction
Your input is important to us. Please complete this form to provide feedback related to the content on this product.
Product Title
Spot an opportunity for improvement?Share a Content Correction