Promotional price valid on web orders only. Your contract pricing may differ. Interested in signing up for a dedicated account number?
Learn More
Learn More
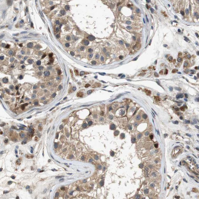
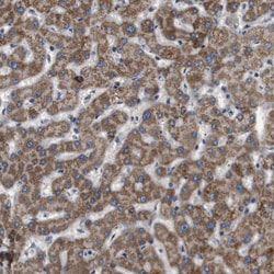
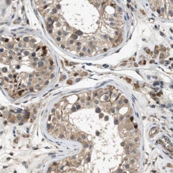
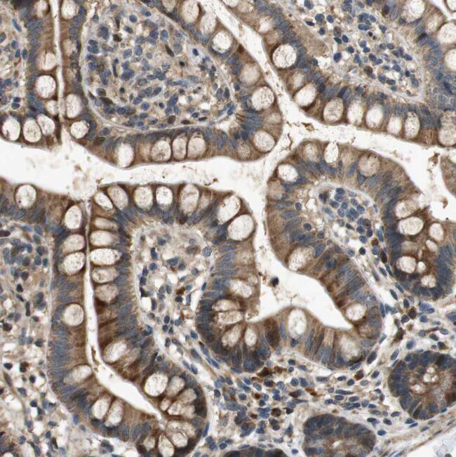
Invitrogen™ STCH Polyclonal Antibody

Rabbit Polyclonal Antibody
Supplier: Invitrogen™ PA553237
Description
Immunogen sequence: AYGLHKADVF HVLVIDLGGG TLDVSLLNKQ GGMFLTRAMS GNNKLGGQDF NQRLLQYLYK QIYQTYGFVP SRKEEIHRLR QAVEMVKLNL TLHQSAQLSV LLTVEEQDRK EPHSSDTELP KDKLSSADDH Highest antigen sequence identity to the following orthologs: Mouse - 85%, Rat - 85%.
STCH encodes a protein that is a member of the heat shock protein 70 family and is found associated with microsomes. Members of this protein family play a role in the processing of cytosolic and secretory proteins, as well as in the removal of denatured or incorrectly-folded proteins. The encoded protein contains an ATPase domain and has been shown to associate with a ubiquitin-like protein.
Specifications
| STCH | |
| Polyclonal | |
| Unconjugated | |
| Hspa13 | |
| 1600002I10Rik; AV006182; B230217N24Rik; Heat shock 70 kDa protein 13; heat shock protein 13; heat shock protein 70 family, member 13; heat shock protein 70kDa family member 13; heat shock protein 70kDa family, member 13; heat shock protein family A (Hsp70) member 13; Hspa13; microsomal stress 70 protein ATPase core; microsomal stress-70 protein ATPase core; STCH; stress 70 protein chaperone microsome-associated 60 kDa protein; stress 70 protein chaperone microsome-associated 60kD human homolog; stress 70 protein chaperone, microsome-associated, 60kD; stress 70 protein chaperone, microsome-associated, 60kD human homolog; stress 70 protein chaperone, microsome-associated, 60kDa; stress 70 protein chaperone, microsome-associated, human homolog; stress-70 protein chaperone microsome-associated 60 kDa protein; testis secretory sperm-binding protein Li 199a | |
| Rabbit | |
| Antigen affinity chromatography | |
| RUO | |
| 6782 | |
| Store at 4°C short term. For long term storage, store at -20°C, avoiding freeze/thaw cycles. | |
| Liquid |
| Immunohistochemistry (Paraffin) | |
| 0.1 mg/mL | |
| PBS with 40% glycerol and 0.02% sodium azide; pH 7.2 | |
| P48723 | |
| Hspa13 | |
| Recombinant protein corresponding to Human STCH. Recombinant protein control fragment (Product #RP-90338). | |
| 100 μL | |
| Primary | |
| Human | |
| Antibody | |
| IgG |
Product Content Correction
Your input is important to us. Please complete this form to provide feedback related to the content on this product.
Product Title
Spot an opportunity for improvement?Share a Content Correction