Promotional price valid on web orders only. Your contract pricing may differ. Interested in signing up for a dedicated account number?
Learn More
Learn More
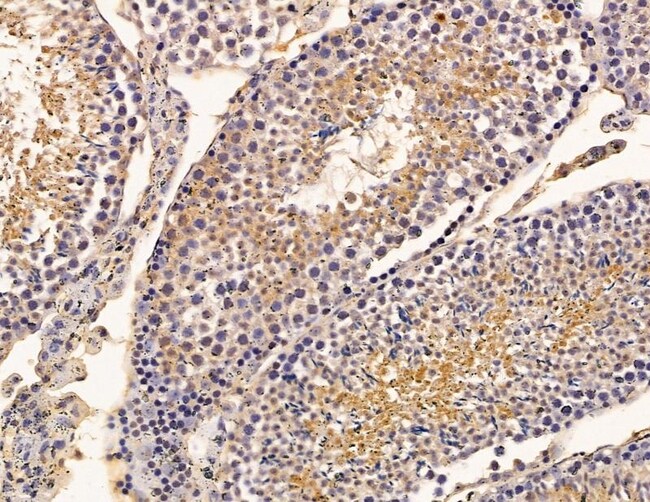
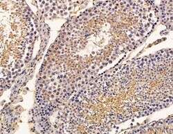
Invitrogen™ STK31 Polyclonal Antibody

Rabbit Polyclonal Antibody
Supplier: Invitrogen™ PA5104124
Description
Antibody detects endogenous levels of total STK31.
This gene is similar to a mouse gene that encodes a putative protein kinase with a tudor domain, and shows testis-specific expression. Alternative splicing results in multiple transcript variants encoding different isoforms.
Specifications
STK31 | |
Polyclonal | |
Unconjugated | |
STK31 | |
C330007K24Rik; RGD1564384; serine threonine kinase 31; serine/threonine kinase 31; serine/threonine-protein kinase 31; Serine/threonine-protein kinase NYD-SPK; SGK396; STK31; Sugen kinase 396; TDRD8; testis tissue sperm-binding protein Li 78m; tudor domain containing 8 | |
Rabbit | |
Affinity chromatography | |
RUO | |
56164 | |
-20°C | |
Liquid |
Immunohistochemistry (Paraffin), Western Blot, Immunocytochemistry | |
1 mg/mL | |
PBS with 50% glycerol and 0.02% sodium azide; pH 7.4 | |
Q9BXU1 | |
STK31 | |
A synthesized peptide derived from human STK31(Accession Q9BXU1), corresponding to amino acid residues L630-Q680. | |
100 μL | |
Primary | |
Human | |
Antibody | |
IgG |
Safety and Handling
WARNING: Cancer - www.P65Warnings.ca.gov
Product Content Correction
Your input is important to us. Please complete this form to provide feedback related to the content on this product.
Product Title
Spot an opportunity for improvement?Share a Content Correction