Promotional price valid on web orders only. Your contract pricing may differ. Interested in signing up for a dedicated account number?
Learn More
Learn More
Invitrogen™ STK39 Monoclonal Antibody (OTI4H3)

Mouse Monoclonal Antibody
Supplier: Invitrogen™ MA524935
Description
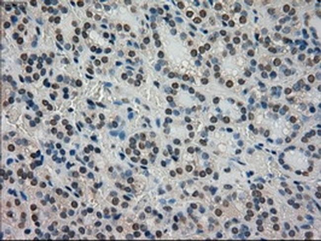
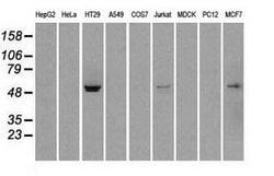
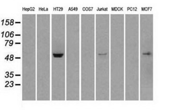
STK39 Monoclonal Antibody for Western Blot, ICC/IF, IHC (P), Flow
STK39 (STLK3) is involved in the cellular stress response pathway. STK39 is activated in response to hypotonic stress leading to phosphorylation of several cation-chloride-coupled co-transporters. STK39 activates the p38 MAP kinase pathway and its interaction with p38 decreases during cellular stress. STK39 acts as an intermediate in the response to cellular stress. STK39 is also an independent risk factor for hypertension in men and its intragenic SNPs can interact and function in the control of blood pressure.
Specifications
STK39 | |
Monoclonal | |
1 mg/mL | |
PBS with 1% BSA, 50% glycerol and 0.02% sodium azide; pH 7.3 | |
Q9UEW8 | |
STK39 | |
Full length human recombinant protein of STK39 produced in HEK293T cell. | |
100 μL | |
Primary | |
Human | |
Antibody | |
IgG2b |
Flow Cytometry, Immunohistochemistry (Paraffin), Western Blot, Immunocytochemistry | |
OTI4H3 | |
Unconjugated | |
STK39 | |
AW227544; AW556857; DCHT; DKFZp686K05124; kidney-specific SPAK; pancreatic serine/threonine-protein kinase; Pask; proline-alanine-rich STE20-related kinase; PS/TK; PSTK1; RF005; Rnl5; serine threonine kinase 39; serine threonine kinase 39 (STE20/SPS1 homolog, yeast); serine/threonine kinase 39; serine/threonine kinase 39, STE20/SPS1 homolog; serine/threonine-protein kinase 39; small intestine SPAK-like kinase; Spak; Ste-20 related kinase; STE20/SPS1 homolog; STE20/SPS1-related proline-alanine-rich protein kinase; Ste20-like protein kinase; ste-20-related kinase; Stk39 | |
Mouse | |
Affinity chromatography | |
RUO | |
27347 | |
-20°C, Avoid Freeze/Thaw Cycles | |
Liquid |
Product Content Correction
Your input is important to us. Please complete this form to provide feedback related to the content on this product.
Product Title
Spot an opportunity for improvement?Share a Content Correction