Promotional price valid on web orders only. Your contract pricing may differ. Interested in signing up for a dedicated account number?
Learn More
Learn More
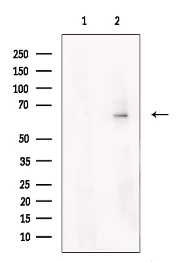
Invitrogen™ STS Polyclonal Antibody

Rabbit Polyclonal Antibody
Supplier: Invitrogen™ PA5115973
Description
Antibody detects endogenous levels of total Steroid sulfatase.
The protein encoded by this gene catalyzes the conversion of sulfated steroid precursors to estrogens during pregnancy. The encoded protein is found in the endoplasmic reticulum, where it acts as a homodimer. Mutations in this gene are known to cause X-linked ichthyosis (XLI).
Specifications
| STS | |
| Polyclonal | |
| Unconjugated | |
| Sts | |
| ArsC; ARSC1; Arylsulfatase C; ASC; ES; Estrone sulfatase; LOC402795 protein; LOW QUALITY PROTEIN: steryl-sulfatase; steryl-sulfatase; si:ch211-271l9.1; SSDD; Steroid sulfatase; steroid sulfatase (microsomal), arylsulfatase C, isozyme S; steroid sulfatase (microsomal), isozyme S; steroid sulphatase; steryl-sulfatase; Steryl-sulfate sulfohydrolase; STS; XLI | |
| Rabbit | |
| Affinity chromatography | |
| RUO | |
| 412 | |
| -20°C | |
| Liquid |
| Western Blot, Immunocytochemistry | |
| 1 mg/mL | |
| PBS with 50% glycerol and 0.02% sodium azide | |
| P08842 | |
| Sts | |
| A synthesized peptide derived from human STS(Accession P08842), corresponding to amino acid residues V486-R536. | |
| 100 μL | |
| Primary | |
| Human | |
| Antibody | |
| IgG |
Safety and Handling
WARNING: Cancer - www.P65Warnings.ca.gov
Product Content Correction
Your input is important to us. Please complete this form to provide feedback related to the content on this product.
Product Title
Spot an opportunity for improvement?Share a Content Correction